Introduction to the Program

The latest advances in the area of clinical neurology compiled in a Postgraduate certificate of high learning efficiency, which will optimize your effort with the best results”

##IMAGE##

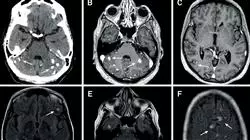
Although Neurological Diagnosis is now made with greater certainty than in past decades, this accuracy has undoubtedly been helped by the advent of increasingly sophisticated Diagnostic Research Techniques. These advances involve new knowledge and scientific developments promoted by relentless research. 

Non-specialized medical professionals need access to the necessary knowledge in this field, even if they are not specialists in this field of work, in order to be able to act efficiently. However, accessing the necessary knowledge in this field and keeping up to date in this field can become incompatible with professional and personal Life. On the other hand, professionals need to find ways of updating their knowledge that are compatible with their personal and professional lives. 

This Postgraduate certificate has been created to provide an efficient response to this need: it focuses on real healthcare conditions, is eminently practical and does not go beyond what is essential in complex topics with little clinical impact. 

The field of Neurology is wide, complex, and extensive. The program will guide the student so that they can globally, in a balanced and staggered manner, consider all the methodology required for the basic mastery of the specialty at the corresponding level. 

Focused on the real context in which non-specialist physicians work and their diagnostic and assistance needs, this Postgraduate certificate in Nervous System Infections will develop the knowledge that is truly necessary in a first or second level practice, avoiding dispersion in the learning effort. 

The Postgraduate certificate aims to prepare students with rigor, teach them with precision and provide them with ways to improve their skills so that they are able to lead realistic assistance and teaching programs in the specific field of their professional competencies. 

All the methodology necessary for the non-specialist medical professional in the field of neurology, in a specific and concrete Postgraduate certificate in Infections of the Nervous System”

This Postgraduate certificate in Nervous System Infections contains the most complete and up-to-date scientific program on the market. The most important features include: 

  • Development of a Large Number of Case Studies Presented by Experts
  • Graphic, schematic, and highly practical contents
  • The latest developments and cutting-edge advances in this field 
  • Practical exercises where the self-evaluation process can be carried out to improve learning
  • Innovative and highly efficient methodologies 
  • Theoretical lessons, questions to the expert, debate forums on controversial topics, and individual reflection assignments
  • Content that is accessible from any fixed or portable device with an Internet connection

This Postgraduate certificate is the best investment you can make in the selection of a refresher program for two reasons: in addition to updating your knowledge in Nervous System Infections, you will obtain a program degree from TECH Global University”

The development of this Postgraduate certificate is focused on the practice of the proposed theoretical learning. Through the most effective teaching systems, proven methods imported from the most prestigious universities in the world, the student will be able to acquire new knowledge in an eminently practical way. In this way, TECH Global University strives to convert the student's efforts into real and immediate competencies.

The online system is another of the strengths of this educational proposal. With an interactive platform that has the advantages of the latest technological developments, the most interactive digital tools are at the student's service. In this way TECH Global University can offer the student a way of learning that is totally adaptable to their needs, so that they can perfectly combine this program with their personal or working life. 

An educational program created to allow you to implement your acquired knowledge into your daily practice in an almost immediate way"

##IMAGE##

Take the opportunity to learn about the latest advances in this field and apply it to your daily practice"

Why study at TECH?

TECH is the world’s largest online university. With an impressive catalog of more than 14,000 university programs available in 11 languages, it is positioned as a leader in employability, with a 99% job placement rate. In addition, it relies on an enormous faculty of more than 6,000 professors of the highest international renown.  

estudiar tech TECH

Study at the world's largest online university and guarantee your professional success. The future starts at TECH” 

 

The world’s best online university according to FORBES 

The prestigious Forbes magazine, specialized in business and finance, has highlighted TECH as “the world's best online university” This is what they have recently stated in an article in their digital edition in which they echo the success story of this institution, “thanks to the academic offer it provides, the selection of its teaching staff, and an innovative learning method aimed at educating the professionals of the future” 

A revolutionary study method, a cutting-edge faculty and a practical focus: the key to TECH's success.

The most complete study plans on the university scene 

TECH offers the most complete study plans on the university scene, with syllabuses that cover fundamental concepts and, at the same time, the main scientific advances in their specific scientific areas. In addition, these programs are continuously being updated to guarantee students the academic vanguard and the most in-demand professional skills. In this way, the university's qualifications provide its graduates with a significant advantage to propel their careers to success. 

TECH offers the most comprehensive and intensive study plans on the current university scene.

A world-class teaching staff  

TECH's teaching staff is made up of more than 6,000 professors with the highest international recognition. Professors, researchers and top executives of multinational companies, including Isaiah Covington, performance coach of the Boston Celtics; Magda Romanska, principal investigator at Harvard MetaLAB; Ignacio Wistumba, chairman of the department of translational molecular pathology at MD Anderson Cancer Center; and D.W. Pine, creative director of TIME magazine, among others. 

Internationally renowned experts, specialized in different branches of Health, Technology, Communication and Business, form part of the TECH faculty.

A unique learning method 

TECH is the first university to use Relearning in all its programs. It is the best online learning methodology, accredited with international teaching quality certifications, provided by prestigious educational agencies. In addition, this disruptive educational model is complemented with the “Case Method”, thereby setting up a unique online teaching strategy. Innovative teaching resources are also implemented, including detailed videos, infographics and interactive summaries. 

TECH combines Relearning and the Case Method in all its university programs to guarantee excellent theoretical and practical learning, studying whenever and wherever you want.

The world's largest online university 

TECH is the world’s largest online university. We are the largest educational institution, with the best and widest online educational catalog, one hundred percent online and covering the vast majority of areas of knowledge. We offer a large selection of our own degrees and accredited online undergraduate and postgraduate degrees. In total, more than 14,000 university degrees, in eleven different languages, make us the largest educational largest in the world. 

TECH has the world's most extensive catalog of academic and official programs, available in more than 11 languages.

Google Premier Partner 

The American technology giant has awarded TECH the Google Google Premier Partner badge. This award, which is only available to 3% of the world's companies, highlights the efficient, flexible and tailored experience that this university provides to students. The recognition as a Google Premier Partner not only accredits the maximum rigor, performance and investment in TECH's digital infrastructures, but also places this university as one of the world's leading technology companies. 

Google has positioned TECH in the top 3% of the world's most important technology companies by awarding it its Google Premier Partner badge.

The official online university of the NBA 

TECH is the official online university of the NBA. Thanks to our agreement with the biggest league in basketball, we offer our students exclusive university programs, as well as a wide variety of educational resources focused on the business of the league and other areas of the sports industry. Each program is made up of a uniquely designed syllabus and features exceptional guest hosts: professionals with a distinguished sports background who will offer their expertise on the most relevant topics. 

TECH has been selected by the NBA, the world's top basketball league, as its official online university.

The top-rated university by its students 

Students have positioned TECH as the world's top-rated university on the main review websites, with a highest rating of 4.9 out of 5, obtained from more than 1,000 reviews. These results consolidate TECH as the benchmark university institution at an international level, reflecting the excellence and positive impact of its educational model.” reflecting the excellence and positive impact of its educational model.” 

TECH is the world’s top-rated university by its students.

Leaders in employability 

TECH has managed to become the leading university in employability. 99% of its students obtain jobs in the academic field they have studied, within one year of completing any of the university's programs. A similar number achieve immediate career enhancement. All this thanks to a study methodology that bases its effectiveness on the acquisition of practical skills, which are absolutely necessary for professional development. 

99% of TECH graduates find a job within a year of completing their studies.

Postgraduate Certificate in Nervous System Infections

If you are a medical professional and you are concerned about being up-to-date in the field of nervous system infections, the Postgraduate Certificate in Nervous System Infections is an ideal option for you. This course focuses on providing medical professionals with the necessary knowledge to act efficiently in the diagnosis and treatment of these diseases. Although neurological diagnosis is made with greater certainty than in past decades, this is largely due to the advent of increasingly sophisticated diagnostic research techniques. These advances involve new knowledge and scientific developments that promote the relentless search for solutions in the field of nervous system infections. However, accessing the necessary knowledge in this area and keeping up to date can be incompatible with professional and personal life. That is why the Postgraduate Certificate in Nervous System Infections has been created to provide an efficient answer to this need. This program focuses on real healthcare conditions and is eminently practical, which makes it perfect for professionals who need to find ways to keep up to date that are compatible with their personal and professional life.

Enhance your knowledge in infectious diseases completely online

This Postgraduate Certificate in Nervous System Infections is an ideal choice for those medical professionals who wish to improve their skills and knowledge in this field. Participants will learn how to act efficiently in the diagnosis and treatment of these diseases, which will allow them to improve the quality of medical care they provide to their patients. In short, the Postgraduate Certificate in Nervous System Infections is an essential tool for medical professionals to acquire the necessary knowledge in this field and to keep up to date. This will help to improve the quality of medical care and promote more accurate and effective decision-making in the diagnosis and treatment of nervous system infections. Don't hesitate to benefit from this opportunity to improve your skills and knowledge in this field.