Π£Π½ΠΈΠ²Π΅ΡΡΠΈΡΠ΅ΡΡΠΊΠ°Ρ ΠΊΠ²Π°Π»ΠΈΡΠΈΠΊΠ°ΡΠΈΡ
Крупнейший в мире стоматологический факультет”
Презентация
Π£Π½ΠΈΠ²Π΅ΡΡΠΈΡΠ΅ΡΡΠΊΠΈΠΉ ΠΊΡΡΡ, ΠΊΠΎΡΠΎΡΡΠΉ ΠΏΠΎΠ·Π²ΠΎΠ»ΠΈΡ Π²Π°ΠΌ Π±ΡΡΡ Π² ΠΊΡΡΡΠ΅ ΡΠ°ΠΌΡΡ ΠΏΠΎΡΠ»Π΅Π΄Π½ΠΈΡ Π΄ΠΎΡΡΠΈΠΆΠ΅Π½ΠΈΠΉ Π² ΠΎΠ±Π»Π°ΡΡΠΈ Π΄ΠΈΠ°Π³Π½ΠΎΡΡΠΈΠΊΠΈ ΠΈ Π»Π΅ΡΠ΅Π½ΠΈΡ ΠΊΠ°ΡΠΈΠ΅ΡΠ°"

Π‘ΡΠ΅Π΄ΠΈ ΠΎΡΠ½ΠΎΠ²Π½ΡΡ ΡΠ°ΠΊΡΠΎΡΠΎΠ², Π²Π»ΠΈΡΡΡΠΈΡ Π½Π° ΡΠ°Π·Π²ΠΈΡΠΈΠ΅ ΠΊΠ°ΡΠΈΠ΅ΡΠ°, - ΠΏΠ»ΠΎΡ Π°Ρ Π³ΠΈΠ³ΠΈΠ΅Π½Π° ΠΏΠΎΠ»ΠΎΡΡΠΈ ΡΡΠ°, ΠΊΠΎΡΠΌΠ»Π΅Π½ΠΈΠ΅ ΠΈΠ· Π±ΡΡΡΠ»ΠΎΡΠΊΠΈ ΠΈΠ»ΠΈ Π³ΡΡΠ΄ΡΡ, ΡΠ°ΡΡΠΎΠ΅ ΡΠΏΠΎΡΡΠ΅Π±Π»Π΅Π½ΠΈΠ΅ ΡΠ΅ΡΠΌΠ΅Π½ΡΠΈΡΡΠ΅ΠΌΡΡ ΡΠ³Π»Π΅Π²ΠΎΠ΄ΠΎΠ² ΠΈΠ»ΠΈ Π·ΡΠ±Π½ΠΎΠ³ΠΎ Π½Π°Π»Π΅ΡΠ°. ΠΡΠΎ ΠΎΠ±ΡΠΈΡΠ½ΡΠΉ ΡΠΏΠΈΡΠΎΠΊ, ΠΈ ΡΡΠΎΠΌΠ°ΡΠΎΠ»ΠΎΠ³ Π΄ΠΎΠ»ΠΆΠ΅Π½ ΠΎΠ±Π»Π°Π΄Π°ΡΡ ΠΎΠ±ΡΠΈΡΠ½ΡΠΌΠΈ Π·Π½Π°Π½ΠΈΡΠΌΠΈ ΠΎ Π½Π΅ΠΌ, ΡΡΠΎΠ±Ρ ΠΏΡΠΎΠ²Π΅ΡΡΠΈ ΡΠΎΠΎΡΠ²Π΅ΡΡΡΠ²ΡΡΡΡΡ Π΄ΠΈΠ°Π³Π½ΠΎΡΡΠΈΠΊΡ ΠΈ Π»Π΅ΡΠ΅Π½ΠΈΠ΅. ΠΠ°Π½Π½ΡΠΉ Π£Π½ΠΈΠ²Π΅ΡΡΠΈΡΠ΅ΡΡΠΊΠΈΠΉ ΠΊΡΡΡ Π±ΡΠ» ΡΠΎΠ·Π΄Π°Π½ Π² ΠΎΡΠ²Π΅Ρ Π½Π° ΠΏΠΎΡΡΠ΅Π±Π½ΠΎΡΡΡ ΠΏΡΠΎΡΠ΅ΡΡΠΈΠΎΠ½Π°Π»ΠΎΠ² Π² ΠΎΠ±Π½ΠΎΠ²Π»Π΅Π½ΠΈΠΈ ΡΠ²ΠΎΠΈΡ Π·Π½Π°Π½ΠΈΠΉ Π² ΡΡΠΎΠΉ ΠΎΠ±Π»Π°ΡΡΠΈ. ΠΠ»Ρ ΡΡΠΎΠ³ΠΎ 2-ΠΌΠ΅ΡΡΡΠ½Π°Ρ ΠΏΡΠΎΠ³ΡΠ°ΠΌΠΌΠ° ΠΏΡΠ΅Π΄Π»Π°Π³Π°Π΅Ρ ΡΡΡΠ΄Π΅Π½ΡΠ°ΠΌ ΠΊΠΎΠΌΠΏΠ»Π΅ΠΊΡΠ½ΡΠΉ ΠΈ ΠΏΡΠΎΠ΄Π²ΠΈΠ½ΡΡΡΠΉ ΡΡΠ΅Π±Π½ΡΠΉ ΠΏΠ»Π°Π½, Π΄ΠΎΠΏΠΎΠ»Π½Π΅Π½Π½ΡΠΉ ΠΌΡΠ»ΡΡΠΈΠΌΠ΅Π΄ΠΈΠΉΠ½ΡΠΌΠΈ ΠΌΠ°ΡΠ΅ΡΠΈΠ°Π»Π°ΠΌΠΈ, ΠΎΡΠ½ΠΎΠ²Π°Π½Π½ΡΠΌΠΈ Π½Π° Π²ΠΈΠ΄Π΅ΠΎ-ΠΊΠΎΠ½ΡΠΏΠ΅ΠΊΡΠ°Ρ , ΠΈΠ½ΡΠ΅ΡΠ°ΠΊΡΠΈΠ²Π½ΡΡ Π΄ΠΈΠ°Π³ΡΠ°ΠΌΠΌΠ°Ρ , ΠΏΠΎΠ΄ΡΠΎΠ±Π½ΡΡ Π²ΠΈΠ΄Π΅ΠΎΠΌΠ°ΡΠ΅ΡΠΈΠ°Π»Π°Ρ ΠΈ ΡΠΏΠ΅ΡΠΈΠ°Π»ΠΈΠ·ΠΈΡΠΎΠ²Π°Π½Π½ΠΎΠΉ Π»ΠΈΡΠ΅ΡΠ°ΡΡΡΠ΅.
Π’Π°ΠΊΠΈΠΌ ΠΎΠ±ΡΠ°Π·ΠΎΠΌ, ΡΠΏΠ΅ΡΠΈΠ°Π»ΠΈΡΡ ΡΠΌΠΎΠΆΠ΅Ρ ΠΎΠ±Π½ΠΎΠ²ΠΈΡΡ ΡΠ²ΠΎΠΈ Π·Π½Π°Π½ΠΈΡ ΠΎΠ± ΡΡΠΈΠΎΠ»ΠΎΠ³ΠΈΡΠ΅ΡΠΊΠΈΡ
ΡΠ°ΠΊΡΠΎΡΠ°Ρ
ΠΊΠ°ΡΠΈΠ΅ΡΠ°, Π²ΡΡΠ²Π»Π΅Π½ΠΈΠΈ ΠΈ Π΄ΠΈΠ°Π³Π½ΠΎΡΡΠΈΠΊΠ΅ ΠΊΠ°ΡΠΈΠΎΠ·Π½ΡΡ
ΠΏΠΎΡΠ°ΠΆΠ΅Π½ΠΈΠΉ, Π»Π΅ΡΠ΅Π½ΠΈΠΈ ΠΏΠΎΡΠ°ΠΆΠ΅Π½ΠΈΠΉ, Π°ΡΡΠ°Π²ΠΌΠ°ΡΠΈΡΠ½ΠΎΠΌ ΡΠ΅ΡΡΠ°Π²ΡΠ°ΡΠΈΠΎΠ½Π½ΠΎΠΌ Π»Π΅ΡΠ΅Π½ΠΈΠΈ ΠΈ Π½ΠΎΠ²ΡΡ
Π±ΠΈΠΎΠ°ΠΊΡΠΈΠ²Π½ΡΡ
ΠΌΠ°ΡΠ΅ΡΠΈΠ°Π»Π°Ρ
. ΠΡΠ΅ ΡΡΠΎ Π±Π»Π°Π³ΠΎΠ΄Π°ΡΡ ΡΠ΅ΠΎΡΠ΅ΡΠΈΠΊΠΎ-ΠΏΡΠ°ΠΊΡΠΈΡΠ΅ΡΠΊΠΎΠΌΡ ΠΏΠΎΠ΄Ρ
ΠΎΠ΄Ρ, ΠΊΠΎΡΠΎΡΡΠΉ Π±ΡΠ΄Π΅Ρ ΡΠΏΠΎΡΠΎΠ±ΡΡΠ²ΠΎΠ²Π°ΡΡ ΠΏΠ΅ΡΠ΅ΡΠ°Π±ΠΎΡΠΊΠ΅ Π·Π½Π°Π½ΠΈΠΉ Π³ΠΎΡΠ°Π·Π΄ΠΎ Π±ΠΎΠ»Π΅Π΅ Π±ΡΡΡΡΡΠΌ ΠΈ ΠΏΡΠΎΡΡΡΠΌ ΡΠΏΠΎΡΠΎΠ±ΠΎΠΌ.
ΠΡΠΎΠΌΠ΅ ΡΠΎΠ³ΠΎ, ΠΌΠΎΠ΄Π΅Π»ΠΈΡΠΎΠ²Π°Π½ΠΈΠ΅ ΡΠ΅Π°Π»ΡΠ½ΡΡ
ΡΠ»ΡΡΠ°Π΅Π² ΡΡΠ°Π½ΠΎΠ²ΠΈΡΡΡ ΠΊΠ»ΡΡΠ΅Π²ΡΠΌ ΡΠ»Π΅ΠΌΠ΅Π½ΡΠΎΠΌ ΡΡΠΎΠ³ΠΎ Π£Π½ΠΈΠ²Π΅ΡΡΠΈΡΠ΅ΡΡΠΊΠΎΠ³ΠΎ ΠΊΡΡΡΠ°, ΠΏΠΎΡΠΊΠΎΠ»ΡΠΊΡ ΡΡΠ°Π²ΠΈΡ ΡΡΠΎΠΌΠ°ΡΠΎΠ»ΠΎΠ³Π° Π² ΡΠΈΡΡΠ°ΡΠΈΡ, ΠΊΠΎΠ³Π΄Π° ΠΎΠ½ ΡΡΠ°Π»ΠΊΠΈΠ²Π°Π΅ΡΡΡ Ρ ΠΏΡΠΎΠ±Π»Π΅ΠΌΠ°ΠΌΠΈ, Ρ ΠΊΠΎΡΠΎΡΡΠΌΠΈ ΠΎΠ½ ΠΌΠΎΠΆΠ΅Ρ ΡΡΠΎΠ»ΠΊΠ½ΡΡΡΡΡ Π² ΡΠ²ΠΎΠ΅ΠΉ ΠΎΠ±ΡΡΠ½ΠΎΠΉ ΠΊΠ»ΠΈΠ½ΠΈΡΠ΅ΡΠΊΠΎΠΉ ΠΏΡΠ°ΠΊΡΠΈΠΊΠ΅.
ΠΠΎΡΡΠΎΠΌΡ TECH ΠΏΡΠ΅Π΄Π»Π°Π³Π°Π΅Ρ ΠΎΡΠ»ΠΈΡΠ½ΡΡ Π²ΠΎΠ·ΠΌΠΎΠΆΠ½ΠΎΡΡΡ ΡΠΏΠ΅ΡΠΈΠ°Π»ΠΈΡΡΠ°ΠΌ-ΡΡΠΎΠΌΠ°ΡΠΎΠ»ΠΎΠ³Π°ΠΌ, ΠΊΠΎΡΠΎΡΡΠ΅ Ρ ΠΎΡΡΡ ΠΏΠΎΠ»ΡΡΠΈΡΡ Π²ΡΡΡΠ΅Π΅ ΠΎΠ±ΡΠ°Π·ΠΎΠ²Π°Π½ΠΈΠ΅ Π² ΡΡΡΠ΅ΠΊΡΠΈΠ²Π½ΠΎΠΉ ΠΈ ΡΠ΄ΠΎΠ±Π½ΠΎΠΉ ΡΠΎΡΠΌΠ΅. ΠΡΠ΅, ΡΡΠΎ Π²Π°ΠΌ Π½ΡΠΆΠ½ΠΎ, - ΡΡΠΎ ΡΠ»Π΅ΠΊΡΡΠΎΠ½Π½ΠΎΠ΅ ΡΡΡΡΠΎΠΉΡΡΠ²ΠΎ (ΠΊΠΎΠΌΠΏΡΡΡΠ΅Ρ, ΠΏΠ»Π°Π½ΡΠ΅Ρ ΠΈΠ»ΠΈ ΠΌΠΎΠ±ΠΈΠ»ΡΠ½ΡΠΉ ΡΠ΅Π»Π΅ΡΠΎΠ½), ΡΡΠΎΠ±Ρ ΠΏΠΎΠ΄ΠΊΠ»ΡΡΠΈΡΡΡΡ ΠΊ Π²ΠΈΡΡΡΠ°Π»ΡΠ½ΠΎΠΉ ΠΏΠ»Π°ΡΡΠΎΡΠΌΠ΅ ΠΈ ΠΏΠΎΠ»ΡΡΠΈΡΡ Π΄ΠΎΡΡΡΠΏ ΠΊΠΎ Π²ΡΠ΅ΠΌΡ ΡΡΠ΅Π±Π½ΠΎΠΌΡ ΠΏΠ»Π°Π½Ρ Ρ ΠΏΠ΅ΡΠ²ΠΎΠ³ΠΎ Π΄Π½Ρ ΠΎΠ±ΡΡΠ΅Π½ΠΈΡ. ΠΡΠΎΠΌΠ΅ ΡΠΎΠ³ΠΎ, ΡΠΈΡΡΠ΅ΠΌΠ° Relearning, ΠΎΡΠ½ΠΎΠ²Π°Π½Π½Π°Ρ Π½Π° ΠΏΠΎΠ²ΡΠΎΡΠ΅Π½ΠΈΠΈ ΡΠΎΠ΄Π΅ΡΠΆΠ°Π½ΠΈΡ, ΠΏΠΎΠ·Π²ΠΎΠ»ΠΈΡ ΡΠΎΠΊΡΠ°ΡΠΈΡΡ Π΄ΠΎΠ»Π³ΠΈΠ΅ ΡΠ°ΡΡ ΡΡΠ΅Π±Ρ, ΠΊΠΎΡΠΎΡΡΠ΅ ΡΠ°ΠΊ Ρ Π°ΡΠ°ΠΊΡΠ΅ΡΠ½Ρ Π΄Π»Ρ Π΄ΡΡΠ³ΠΈΡ ΠΌΠ΅ΡΠΎΠ΄ΠΎΠ² ΠΎΠ±ΡΡΠ΅Π½ΠΈΡ. Π’Π°ΠΊΠΈΠΌ ΠΎΠ±ΡΠ°Π·ΠΎΠΌ, Π΄Π°Π½Π½ΡΠΉ Π£Π½ΠΈΠ²Π΅ΡΡΠΈΡΠ΅ΡΡΠΊΠΈΠΉ ΠΊΡΡΡ Π½Π°Ρ ΠΎΠ΄ΠΈΡΡΡ Π½Π° ΠΏΠ΅ΡΠ΅Π΄ΠΎΠ²ΠΎΠΌ ΡΡΠΎΠ²Π½Π΅ Π°ΠΊΠ°Π΄Π΅ΠΌΠΈΡΠ΅ΡΠΊΠΎΠΉ Π½Π°ΡΠΊΠΈ ΠΈ ΠΏΠΎΠ·Π²ΠΎΠ»ΡΠ΅Ρ ΡΡΡΠ΄Π΅Π½ΡΠ°ΠΌ ΡΠΎΠ²ΠΌΠ΅ΡΠ°ΡΡ ΡΠ°Π±ΠΎΡΡ ΠΈ/ΠΈΠ»ΠΈ Π»ΠΈΡΠ½ΡΠ΅ ΠΎΠ±ΡΠ·Π°Π½Π½ΠΎΡΡΠΈ Ρ ΠΏΡΠΎΠ³ΡΠ°ΠΌΠΌΠΎΠΉ Π²ΡΡΠΎΠΊΠΎΠ³ΠΎ ΡΡΠΎΠ²Π½Ρ.
Π, Π½Π°ΠΊΠΎΠ½Π΅Ρ, Π΅Π³ΠΎ Π±ΡΠ΄Π΅Ρ ΠΏΠΎΠ΄Π΄Π΅ΡΠΆΠΈΠ²Π°ΡΡ ΠΊΠΎΠΌΠ°Π½Π΄Π° ΠΏΡΠ΅ΠΏΠΎΠ΄Π°Π²Π°ΡΠ΅Π»Π΅ΠΉ, ΡΠ°Π·Π±ΠΈΡΠ°ΡΡΠΈΡ ΡΡ Π² Π΄Π΅ΡΡΠΊΠΎΠΉ ΡΡΠΎΠΌΠ°ΡΠΎΠ»ΠΎΠ³ΠΈΠΈ, Π²ΠΎ Π³Π»Π°Π²Π΅ Ρ ΠΌΠ΅ΠΆΠ΄ΡΠ½Π°ΡΠΎΠ΄Π½ΡΠΌ ΡΠΊΡΠΏΠ΅ΡΡΠΎΠΌ. ΠΠ½ ΡΠ²Π»ΡΠ΅ΡΡΡ Π°Π²ΡΠΎΡΠΈΡΠ΅ΡΠ½ΠΎΠΉ ΡΠΈΠ³ΡΡΠΎΠΉ, ΠΊΠΎΡΠΎΡΠ°Ρ ΡΠΎΠ³Π»Π°ΡΠΈΠ»Π°ΡΡ ΡΠΎΡΡΡΠ΄Π½ΠΈΡΠ°ΡΡ Ρ TECH Π΄Π»Ρ ΡΠ°Π·Π²ΠΈΡΠΈΡ ΠΏΡΠΎΡΠ΅ΡΡΠΈΠΈ, ΡΠ°Π·ΡΠ°Π±ΠΎΡΠ°Π² 10 ΠΌΠ°ΡΡΠ΅Ρ-ΠΊΠ»Π°ΡΡΠΎΠ² ΠΈΡΠΊΠ»ΡΡΠΈΡΠ΅Π»ΡΠ½ΠΎ Π΄Π»Ρ ΡΡΠΎΠΉ ΠΏΡΠΎΠ³ΡΠ°ΠΌΠΌΡ. Π’Π°ΠΊΠΈΠΌ ΠΎΠ±ΡΠ°Π·ΠΎΠΌ, Ρ ΡΡΡΠ΄Π΅Π½ΡΠ° Π±ΡΠ΄Π΅Ρ Π΄ΠΎΡΡΡΠΏ ΠΊ Π±ΠΎΠ»Π΅Π΅ ΡΠ΅ΠΌ ΡΠ°ΡΡ Π²ΠΈΠ΄Π΅ΠΎ, Π³Π΄Π΅ ΡΠ°Π·Π»ΠΈΡΠ½ΡΠ΅ ΡΠ°Π·Π΄Π΅Π»Ρ ΡΡΠ΅Π±Π½ΠΎΠΉ ΠΏΡΠΎΠ³ΡΠ°ΠΌΠΌΡ Π±ΡΠ΄ΡΡ ΠΎΠ±ΡΡΡΠ½Π΅Π½Ρ Π½Π° ΠΎΡΠ½ΠΎΠ²Π΅ ΠΈΡ ΠΎΠΏΡΡΠ° ΠΈ ΡΡΠΏΠ΅ΡΠ½ΡΡ ΡΡΡΠ°ΡΠ΅Π³ΠΈΠΉ.
ΠΡΠ΅ ΡΡΠΎ Ρ Π±ΠΈΠ±Π»ΠΈΠΎΡΠ΅ΠΊΠΎΠΉ ΠΌΡΠ»ΡΡΠΈΠΌΠ΅Π΄ΠΈΠΉΠ½ΡΡ ΡΠ΅ΡΡΡΡΠΎΠ², Π΄ΠΎΡΡΡΠΏ ΠΊ ΠΊΠΎΡΠΎΡΡΠΌ ΠΌΠΎΠΆΠ½ΠΎ ΠΏΠΎΠ»ΡΡΠΈΡΡ 24 ΡΠ°ΡΠ° Π² ΡΡΡΠΊΠΈ Ρ ΡΠ»Π΅ΠΊΡΡΠΎΠ½Π½ΠΎΠ³ΠΎ ΡΡΡΡΠΎΠΉΡΡΠ²Π°.
ΠΠ°Π½Π½ΡΠΉ Π£Π½ΠΈΠ²Π΅ΡΡΠΈΡΠ΅ΡΡΠΊΠΈΠΉ ΠΊΡΡΡ Π² ΠΎΠ±Π»Π°ΡΡΠΈ ΠΏΠ°ΡΠΎΠ»ΠΎΠ³ΠΈΠΈ ΠΈ ΡΠ΅ΡΠ°ΠΏΠΈΠΈ ΠΊΠ°ΡΠΈΠ΅ΡΠ° Π·ΡΠ±ΠΎΠ² Π² Π΄Π΅ΡΡΠΊΠΎΠΉ ΡΡΠΎΠΌΠ°ΡΠΎΠ»ΠΎΠ³ΠΈΠΈ ΡΠΎΠ΄Π΅ΡΠΆΠΈΡ ΡΠ°ΠΌΡΡ ΠΏΠΎΠ»Π½ΡΡ ΠΈ ΡΠΎΠ²ΡΠ΅ΠΌΠ΅Π½Π½ΡΡ Π½Π°ΡΡΠ½ΡΡ ΠΏΡΠΎΠ³ΡΠ°ΠΌΠΌΡ Π½Π° ΡΡΠ½ΠΊΠ΅.Β
ΠΡΠ½ΠΎΠ²Π½ΡΠΌΠΈ ΠΎΡΠΎΠ±Π΅Π½Π½ΠΎΡΡΡΠΌΠΈ ΠΎΠ±ΡΡΠ΅Π½ΠΈΡ ΡΠ²Π»ΡΡΡΡΡ:
- Π Π°Π·Π±ΠΎΡ ΠΏΡΠ°ΠΊΡΠΈΡΠ΅ΡΠΊΠΈΡ ΠΊΠ΅ΠΉΡΠΎΠ², ΠΏΡΠ΅Π΄ΡΡΠ°Π²Π»Π΅Π½Π½ΡΡ ΡΠΊΡΠΏΠ΅ΡΡΠ°ΠΌΠΈ Π² ΠΎΠ±Π»Π°ΡΡΠΈ ΡΡΠΎΠΌΠ°ΡΠΎΠ»ΠΎΠ³ΠΈΠΈ
- ΠΠ°Π³Π»ΡΠ΄Π½ΠΎΠ΅, ΡΡ Π΅ΠΌΠ°ΡΠΈΡΠ½ΠΎΠ΅ ΠΈ ΠΈΡΠΊΠ»ΡΡΠΈΡΠ΅Π»ΡΠ½ΠΎ ΠΏΡΠ°ΠΊΡΠΈΡΠ΅ΡΠΊΠΎΠ΅ ΡΠΎΠ΄Π΅ΡΠΆΠ°Π½ΠΈΠ΅ ΠΊΡΡΡΠ° ΠΏΡΠ΅Π΄ΠΎΡΡΠ°Π²Π»ΡΠ΅Ρ Π½Π°ΡΡΠ½ΡΡ ΠΈ ΠΏΡΠ°ΠΊΡΠΈΡΠ΅ΡΠΊΡΡ ΠΈΠ½ΡΠΎΡΠΌΠ°ΡΠΈΡ ΠΏΠΎ ΡΠ΅ΠΌ Π΄ΠΈΡΡΠΈΠΏΠ»ΠΈΠ½Π°ΠΌ, ΠΊΠΎΡΠΎΡΡΠ΅ Π½Π΅ΠΎΠ±Ρ ΠΎΠ΄ΠΈΠΌΡ Π΄Π»Ρ ΠΎΡΡΡΠ΅ΡΡΠ²Π»Π΅Π½ΠΈΡ ΠΏΡΠΎΡΠ΅ΡΡΠΈΠΎΠ½Π°Π»ΡΠ½ΠΎΠΉ Π΄Π΅ΡΡΠ΅Π»ΡΠ½ΠΎΡΡΠΈ
- ΠΡΠ°ΠΊΡΠΈΡΠ΅ΡΠΊΠΈΠ΅ ΡΠΏΡΠ°ΠΆΠ½Π΅Π½ΠΈΡ Π΄Π»Ρ ΡΠ°ΠΌΠΎΠΎΡΠ΅Π½ΠΊΠΈ, ΠΊΠΎΠ½ΡΡΠΎΠ»Ρ ΠΈ ΡΠ»ΡΡΡΠ΅Π½ΠΈΡ ΡΡΠΏΠ΅Π²Π°Π΅ΠΌΠΎΡΡΠΈ
- ΠΡΠΎΠ±ΠΎΠ΅ Π²Π½ΠΈΠΌΠ°Π½ΠΈΠ΅ ΡΠ΄Π΅Π»ΡΠ΅ΡΡΡ ΠΈΠ½Π½ΠΎΠ²Π°ΡΠΈΠΎΠ½Π½ΡΠΌ ΠΌΠ΅ΡΠΎΠ΄ΠΎΠ»ΠΎΠ³ΠΈΡΠΌ
- Π’Π΅ΠΎΡΠ΅ΡΠΈΡΠ΅ΡΠΊΠΈΠ΅ Π·Π°Π½ΡΡΠΈΡ, Π²ΠΎΠΏΡΠΎΡΡ ΡΠΊΡΠΏΠ΅ΡΡΡ, Π΄ΠΈΡΠΊΡΡΡΠΈΠΎΠ½Π½ΡΠ΅ ΡΠΎΡΡΠΌΡ ΠΏΠΎ ΡΠΏΠΎΡΠ½ΡΠΌ ΡΠ΅ΠΌΠ°ΠΌ ΠΈ ΡΠ°ΠΌΠΎΡΡΠΎΡΡΠ΅Π»ΡΠ½Π°Ρ ΡΠ°Π±ΠΎΡΠ°
- Π£ΡΠ΅Π±Π½ΡΠ΅ ΠΌΠ°ΡΠ΅ΡΠΈΠ°Π»Ρ ΠΊΡΡΡΠ° Π΄ΠΎΡΡΡΠΏΠ½Ρ Ρ Π»ΡΠ±ΠΎΠ³ΠΎ ΡΡΠ°ΡΠΈΠΎΠ½Π°ΡΠ½ΠΎΠ³ΠΎ ΠΈΠ»ΠΈ ΠΌΠΎΠ±ΠΈΠ»ΡΠ½ΠΎΠ³ΠΎ ΡΡΡΡΠΎΠΉΡΡΠ²Π° Ρ Π²ΡΡ ΠΎΠ΄ΠΎΠΌ Π² ΠΈΠ½ΡΠ΅ΡΠ½Π΅Ρ
100% ΠΎΠ½Π»Π°ΠΉΠ½-ΠΏΡΠΎΠ³ΡΠ°ΠΌΠΌΠ°, Π² ΡΠ°ΠΌΠΊΠ°Ρ ΠΊΠΎΡΠΎΡΠΎΠΉ Π²Ρ ΡΠΌΠΎΠΆΠ΅ΡΠ΅ ΠΎΠ±Π½ΠΎΠ²ΠΈΡΡ ΡΠ²ΠΎΠΈ Π·Π½Π°Π½ΠΈΡ ΠΎ Π²Π°ΡΠΈΠ°Π½ΡΠ°Ρ Π»Π΅ΡΠ΅Π½ΠΈΡ ΠΌΠΎΠ»ΠΎΡΠ½ΡΡ ΠΈ ΠΏΠΎΡΡΠΎΡΠ½Π½ΡΡ Π·ΡΠ±ΠΎΠ²"
Π ΠΏΡΠ΅ΠΏΠΎΠ΄Π°Π²Π°ΡΠ΅Π»ΡΡΠΊΠΈΠΉ ΡΠΎΡΡΠ°Π² ΠΏΡΠΎΠ³ΡΠ°ΠΌΠΌΡ Π²Ρ ΠΎΠ΄ΡΡ ΠΏΡΠΎΡΠ΅ΡΡΠΈΠΎΠ½Π°Π»Ρ ΠΎΡΡΠ°ΡΠ»ΠΈ, ΠΊΠΎΡΠΎΡΡΠ΅ ΠΏΡΠΈΠ²Π½ΠΎΡΡΡ Π² ΠΎΠ±ΡΡΠ΅Π½ΠΈΠ΅ ΠΎΠΏΡΡ ΡΠ²ΠΎΠ΅ΠΉ ΡΠ°Π±ΠΎΡΡ, Π° ΡΠ°ΠΊΠΆΠ΅ ΠΏΡΠΈΠ·Π½Π°Π½Π½ΡΠ΅ ΡΠΏΠ΅ΡΠΈΠ°Π»ΠΈΡΡΡ ΠΈΠ· Π²Π΅Π΄ΡΡΠΈΡ ΡΠΎΠΎΠ±ΡΠ΅ΡΡΠ² ΠΈ ΠΏΡΠ΅ΡΡΠΈΠΆΠ½ΡΡ ΡΠ½ΠΈΠ²Π΅ΡΡΠΈΡΠ΅ΡΠΎΠ².
ΠΡΠ»ΡΡΠΈΠΌΠ΅Π΄ΠΈΠΉΠ½ΠΎΠ΅ ΡΠΎΠ΄Π΅ΡΠΆΠ°Π½ΠΈΠ΅ ΠΏΡΠΎΠ³ΡΠ°ΠΌΠΌΡ, ΡΠ°Π·ΡΠ°Π±ΠΎΡΠ°Π½Π½ΠΎΠ΅ Ρ ΠΈΡΠΏΠΎΠ»ΡΠ·ΠΎΠ²Π°Π½ΠΈΠ΅ΠΌ Π½ΠΎΠ²Π΅ΠΉΡΠΈΡ ΠΎΠ±ΡΠ°Π·ΠΎΠ²Π°ΡΠ΅Π»ΡΠ½ΡΡ ΡΠ΅Ρ Π½ΠΎΠ»ΠΎΠ³ΠΈΠΉ, ΠΏΠΎΠ·Π²ΠΎΠ»ΠΈΡ ΡΠΏΠ΅ΡΠΈΠ°Π»ΠΈΡΡΡ ΠΏΡΠΎΡ ΠΎΠ΄ΠΈΡΡ ΠΎΠ±ΡΡΠ΅Π½ΠΈΠ΅ Ρ ΡΡΠ΅ΡΠΎΠΌ ΠΊΠΎΠ½ΡΠ΅ΠΊΡΡΠ° ΠΈ ΡΠΈΡΡΠ°ΡΠΈΠΈ, Ρ.Π΅. Π² ΡΠΈΠΌΡΠ»ΠΈΡΠΎΠ²Π°Π½Π½ΠΎΠΉ ΡΡΠ΅Π΄Π΅, ΠΎΠ±Π΅ΡΠΏΠ΅ΡΠΈΠ²Π°ΡΡΠ΅ΠΉ ΠΈΠΌΠΌΠ΅ΡΡΠΈΠ²Π½ΡΠΉ ΡΡΠ΅Π±Π½ΡΠΉ ΠΏΡΠΎΡΠ΅ΡΡ, Π·Π°ΠΏΡΠΎΠ³ΡΠ°ΠΌΠΌΠΈΡΠΎΠ²Π°Π½Π½ΡΠΉ Π½Π° ΠΎΠ±ΡΡΠ΅Π½ΠΈΠ΅ Π² ΡΠ΅Π°Π»ΡΠ½ΡΡ ΡΠΈΡΡΠ°ΡΠΈΡΡ .
Π‘ΡΡΡΠΊΡΡΡΠ° ΡΡΠΎΠΉ ΠΏΡΠΎΠ³ΡΠ°ΠΌΠΌΡ ΠΎΡΠ½ΠΎΠ²Π°Π½Π° Π½Π° ΠΏΡΠΎΠ±Π»Π΅ΠΌΠ½ΠΎ-ΠΎΡΠΈΠ΅Π½ΡΠΈΡΠΎΠ²Π°Π½Π½ΠΎΠΌ ΠΎΠ±ΡΡΠ΅Π½ΠΈΠΈ, Ρ ΠΏΠΎΠΌΠΎΡΡΡ ΠΊΠΎΡΠΎΡΠΎΠ³ΠΎ ΡΠΏΠ΅ΡΠΈΠ°Π»ΠΈΡΡ Π΄ΠΎΠ»ΠΆΠ΅Π½ ΠΏΠΎΠΏΡΡΠ°ΡΡΡΡ ΡΠ΅ΡΠΈΡΡ ΡΠ°Π·Π»ΠΈΡΠ½ΡΠ΅ ΡΠΈΡΡΠ°ΡΠΈΠΈ ΠΈΠ· ΠΏΡΠΎΡΠ΅ΡΡΠΈΠΎΠ½Π°Π»ΡΠ½ΠΎΠΉ ΠΏΡΠ°ΠΊΡΠΈΠΊΠΈ, Π²ΠΎΠ·Π½ΠΈΠΊΠ°ΡΡΠΈΠ΅ Π² ΡΠ΅ΡΠ΅Π½ΠΈΠ΅ ΡΡΠ΅Π±Π½ΠΎΠ³ΠΎ ΠΊΡΡΡΠ°. Π ΡΡΠΎΠΌ ΡΡΡΠ΄Π΅Π½ΡΡ ΠΏΠΎΠΌΠΎΠΆΠ΅Ρ ΠΈΠ½Π½ΠΎΠ²Π°ΡΠΈΠΎΠ½Π½Π°Ρ ΠΈΠ½ΡΠ΅ΡΠ°ΠΊΡΠΈΠ²Π½Π°Ρ Π²ΠΈΠ΄Π΅ΠΎΡΠΈΡΡΠ΅ΠΌΠ°, ΡΠΎΠ·Π΄Π°Π½Π½Π°Ρ ΠΏΡΠΈΠ·Π½Π°Π½Π½ΡΠΌΠΈ ΡΠΊΡΠΏΠ΅ΡΡΠ°ΠΌΠΈ.
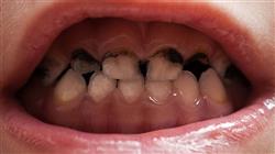
ΠΠ΅ΡΠ°Π»ΡΠ½ΠΎ ΠΈΠ·ΡΡΠΈΡΠ΅ Π»Π΅ΡΠ΅Π½ΠΈΠ΅ ΠΊΡΡΠΏΠ½ΡΡ ΠΊΠ°ΡΠΈΠΎΠ·Π½ΡΡ ΠΏΠΎΡΠ°ΠΆΠ΅Π½ΠΈΠΉ Π² Π΄Π΅ΡΡΠΊΠΎΠΉ ΡΡΠΎΠΌΠ°ΡΠΎΠ»ΠΎΠ³ΠΈΠΈ"

Π£Π½ΠΈΠ²Π΅ΡΡΠΈΡΠ΅ΡΡΠΊΠΎΠ΅ ΠΎΠ±ΡΡΠ΅Π½ΠΈΠ΅, Π½Π° ΠΊΠΎΡΠΎΡΠΎΠΌ Π²Ρ ΡΠΌΠΎΠΆΠ΅ΡΠ΅ ΡΠ·Π½Π°ΡΡ Π±ΠΎΠ»ΡΡΠ΅ ΠΎΠ± ΡΡΠΎΠ·ΠΈΠΈ Π·ΡΠ±ΠΎΠ² ΠΈ ΡΠΈΡΡΠ΅ΠΌΠ½ΡΡ Π·Π°Π±ΠΎΠ»Π΅Π²Π°Π½ΠΈΡΡ , ΠΎΡΡΠ°ΠΆΠ°ΡΡΠΈΡ ΡΡ Π½Π° ΡΠΎΡΡΠΎΡΠ½ΠΈΠΈ ΠΏΠΎΠ»ΠΎΡΡΠΈ ΡΡΠ°"
Зачем учиться в ТЕХ?
TECH ΠΊΡΡΠΏΠ½Π΅ΠΉΡΠΈΠΉ Π² ΠΌΠΈΡΠ΅ ΡΠΈΡΡΠΎΠ²ΠΎΠΉ ΡΠ½ΠΈΠ²Π΅ΡΡΠΈΡΠ΅Ρ. ΠΠΌΠ΅Ρ Π²ΠΏΠ΅ΡΠ°ΡΠ»ΡΡΡΠΈΠΉ ΠΊΠ°ΡΠ°Π»ΠΎΠ³ ΠΈΠ· Π±ΠΎΠ»Π΅Π΅ ΡΠ΅ΠΌ 14 000 Π°ΠΊΠ°Π΄Π΅ΠΌΠΈΡΠ΅ΡΠΊΠΈΡ ΠΏΡΠΎΠ³ΡΠ°ΠΌΠΌ, Π΄ΠΎΡΡΡΠΏΠ½ΡΡ Π½Π° 11 ΡΠ·ΡΠΊΠ°Ρ , ΠΎΠ½ ΠΏΠΎΠ·ΠΈΡΠΈΠΎΠ½ΠΈΡΡΠ΅ΡΡΡ ΠΊΠ°ΠΊ Π»ΠΈΠ΄Π΅Ρ ΠΏΠΎ ΡΡΡΠ΄ΠΎΡΡΡΡΠΎΠΉΡΡΠ²Ρ Ρ ΠΏΠΎΠΊΠ°Π·Π°ΡΠ΅Π»Π΅ΠΌ 99%. ΠΡΠΎΠΌΠ΅ ΡΠΎΠ³ΠΎ, ΡΠ½ΠΈΠ²Π΅ΡΡΠΈΡΠ΅Ρ ΡΠ°ΡΠΏΠΎΠ»Π°Π³Π°Π΅Ρ ΠΎΠ³ΡΠΎΠΌΠ½ΡΠΌ ΠΏΡΠ΅ΠΏΠΎΠ΄Π°Π²Π°ΡΠ΅Π»ΡΡΠΊΠΈΠΌ ΡΠΎΡΡΠ°Π²ΠΎΠΌ, Π²ΠΊΠ»ΡΡΠ°ΡΡΠΈΠΌ Π±ΠΎΠ»Π΅Π΅ 6 000 ΠΏΡΠ΅ΠΏΠΎΠ΄Π°Π²Π°ΡΠ΅Π»Π΅ΠΉ Ρ Π²ΡΡΠΎΡΠ°ΠΉΡΠΈΠΌ ΠΌΠ΅ΠΆΠ΄ΡΠ½Π°ΡΠΎΠ΄Π½ΡΠΌ Π°Π²ΡΠΎΡΠΈΡΠ΅ΡΠΎΠΌ.
ΠΡΠΎΠΉΠ΄ΠΈΡΠ΅ ΠΎΠ±ΡΡΠ΅Π½ΠΈΠ΅ Π² ΠΊΡΡΠΏΠ½Π΅ΠΉΡΠ΅ΠΌ Π² ΠΌΠΈΡΠ΅ ΡΠΈΡΡΠΎΠ²ΠΎΠΌ ΡΠ½ΠΈΠ²Π΅ΡΡΠΈΡΠ΅ΡΠ΅ ΠΈ ΠΎΠ±Π΅ΡΠΏΠ΅ΡΡΡΠ΅ ΡΠ΅Π±Π΅ ΠΏΡΠΎΡΠ΅ΡΡΠΈΠΎΠ½Π°Π»ΡΠ½ΡΠΉ ΡΡΠΏΠ΅Ρ . ΠΡΠ΄ΡΡΠ΅Π΅ Π½Π°ΡΠΈΠ½Π°Π΅ΡΡΡ Π² TECHβ
ΠΡΡΡΠΈΠΉ ΠΎΠ½Π»Π°ΠΉΠ½-ΡΠ½ΠΈΠ²Π΅ΡΡΠΈΡΠ΅Ρ Π² ΠΌΠΈΡΠ΅ ΠΏΠΎ Π²Π΅ΡΡΠΈΠΈ FORBES
ΠΠ²ΡΠΎΡΠΈΡΠ΅ΡΠ½ΡΠΉ ΠΆΡΡΠ½Π°Π» Forbes, ΡΠΏΠ΅ΡΠΈΠ°Π»ΠΈΠ·ΠΈΡΡΡΡΠΈΠΉΡΡ Π½Π° Π±ΠΈΠ·Π½Π΅ΡΠ΅ ΠΈ ΡΠΈΠ½Π°Π½ΡΠ°Ρ , ΠΎΡΠΌΠ΅ΡΠΈΠ» TECH ΠΊΠ°ΠΊ Β«Π»ΡΡΡΠΈΠΉ ΠΎΠ½Π»Π°ΠΉΠ½-ΡΠ½ΠΈΠ²Π΅ΡΡΠΈΡΠ΅Ρ Π² ΠΌΠΈΡΠ΅Β». ΠΠ± ΡΡΠΎΠΌ Π½Π΅Π΄Π°Π²Π½ΠΎ ΡΠΎΠΎΠ±ΡΠΈΠ»ΠΈ Π² ΡΡΠ°ΡΡΠ΅ ΡΠΈΡΡΠΎΠ²ΠΎΠΉ Π²Π΅ΡΡΠΈΠΈ ΠΈΠ·Π΄Π°Π½ΠΈΡ, Π³Π΄Π΅ ΡΠ°ΡΡΠΌΠ°ΡΡΠΈΠ²Π°Π΅ΡΡΡ ΡΡΠΏΠ΅ΡΠ½ΡΠΉ ΠΊΠ΅ΠΉΡ ΡΡΠΎΠ³ΠΎ ΡΡΠ΅Π±Π½ΠΎΠ³ΠΎ Π·Π°Π²Π΅Π΄Π΅Π½ΠΈΡ, Β«Π±Π»Π°Π³ΠΎΠ΄Π°ΡΡ Π΅Π³ΠΎ Π°ΠΊΠ°Π΄Π΅ΠΌΠΈΡΠ΅ΡΠΊΠΎΠΌΡ ΠΏΡΠ΅Π΄Π»ΠΎΠΆΠ΅Π½ΠΈΡ, ΠΎΡΠ±ΠΎΡΡ ΠΏΡΠ΅ΠΏΠΎΠ΄Π°Π²Π°ΡΠ΅Π»ΡΡΠΊΠΎΠ³ΠΎ ΡΠΎΡΡΠ°Π²Π° ΠΈ ΠΈΠ½Π½ΠΎΠ²Π°ΡΠΈΠΎΠ½Π½ΠΎΠΌΡ ΠΌΠ΅ΡΠΎΠ΄Ρ ΠΎΠ±ΡΡΠ΅Π½ΠΈΡ, ΠΎΡΠΈΠ΅Π½ΡΠΈΡΠΎΠ²Π°Π½Π½ΠΎΠΌΡ Π½Π° ΠΏΠΎΠ΄Π³ΠΎΡΠΎΠ²ΠΊΡ ΠΏΡΠΎΡΠ΅ΡΡΠΈΠΎΠ½Π°Π»ΠΎΠ² Π±ΡΠ΄ΡΡΠ΅Π³ΠΎΒ».
ΠΠ½Π½ΠΎΠ²Π°ΡΠΈΠΎΠ½Π½ΡΠΉ ΠΌΠ΅ΡΠΎΠ΄ ΠΎΠ±ΡΡΠ΅Π½ΠΈΡ, ΠΏΠ΅ΡΠ΅Π΄ΠΎΠ²ΠΎΠΉ ΠΏΡΠ΅ΠΏΠΎΠ΄Π°Π²Π°ΡΠ΅Π»ΡΡΠΊΠΈΠΉ ΡΠΎΡΡΠ°Π² ΠΈ ΠΏΡΠ°ΠΊΡΠΈΡΠ΅ΡΠΊΠ°Ρ Π½Π°ΠΏΡΠ°Π²Π»Π΅Π½Π½ΠΎΡΡΡ: ΠΊΠ»ΡΡ ΠΊ ΡΡΠΏΠ΅Ρ Ρ TECH.
Π‘Π°ΠΌΡΠ΅ ΠΏΠΎΠ»Π½ΡΠ΅ ΡΡΠ΅Π±Π½ΡΠ΅ ΠΏΡΠΎΠ³ΡΠ°ΠΌΠΌΡ Π² ΡΠ½ΠΈΠ²Π΅ΡΡΠΈΡΠ΅ΡΡΠΊΠΎΠΉ ΡΡΠ΅Π΄Π΅
TECH ΠΏΡΠ΅Π΄Π»Π°Π³Π°Π΅Ρ Π½Π°ΠΈΠ±ΠΎΠ»Π΅Π΅ ΠΏΠΎΠ»Π½ΡΠ΅ ΡΡΠ΅Π±Π½ΡΠ΅ ΠΏΡΠΎΠ³ΡΠ°ΠΌΠΌΡ, ΠΎΡ Π²Π°ΡΡΠ²Π°ΡΡΠΈΠ΅ ΠΊΠ°ΠΊ ΡΡΠ½Π΄Π°ΠΌΠ΅Π½ΡΠ°Π»ΡΠ½ΡΠ΅ ΠΊΠΎΠ½ΡΠ΅ΠΏΡΠΈΠΈ, ΡΠ°ΠΊ ΠΈ ΠΊΠ»ΡΡΠ΅Π²ΡΠ΅ Π½Π°ΡΡΠ½ΡΠ΅ Π΄ΠΎΡΡΠΈΠΆΠ΅Π½ΠΈΡ Π² ΠΊΠ°ΠΆΠ΄ΠΎΠΉ ΠΊΠΎΠ½ΠΊΡΠ΅ΡΠ½ΠΎΠΉ ΠΎΠ±Π»Π°ΡΡΠΈ. ΠΡΠΎΠΌΠ΅ ΡΠΎΠ³ΠΎ, ΡΡΠΈ ΠΏΡΠΎΠ³ΡΠ°ΠΌΠΌΡ ΠΏΠΎΡΡΠΎΡΠ½Π½ΠΎ ΠΎΠ±Π½ΠΎΠ²Π»ΡΡΡΡΡ, ΡΡΠΎΠ±Ρ ΠΎΠ±Π΅ΡΠΏΠ΅ΡΠΈΡΡ ΡΡΡΠ΄Π΅Π½ΡΠ°ΠΌ ΠΏΠ΅ΡΠ΅Π΄ΠΎΠ²ΠΎΠ΅ Π°ΠΊΠ°Π΄Π΅ΠΌΠΈΡΠ΅ΡΠΊΠΎΠ΅ ΠΎΠ±ΡΠ°Π·ΠΎΠ²Π°Π½ΠΈΠ΅ ΠΈ Π½Π°ΠΈΠ±ΠΎΠ»Π΅Π΅ Π²ΠΎΡΡΡΠ΅Π±ΠΎΠ²Π°Π½Π½ΡΠ΅ ΠΏΡΠΎΡΠ΅ΡΡΠΈΠΎΠ½Π°Π»ΡΠ½ΡΠ΅ Π½Π°Π²ΡΠΊΠΈ. Π’Π°ΠΊΠΈΠΌ ΠΎΠ±ΡΠ°Π·ΠΎΠΌ, ΠΏΡΠΎΠ³ΡΠ°ΠΌΠΌΡ TECH Π΄Π°ΡΡ ΡΡΡΠ΄Π΅Π½ΡΠ°ΠΌ Π·Π½Π°ΡΠΈΡΠ΅Π»ΡΠ½ΠΎΠ΅ ΠΏΡΠ΅ΠΈΠΌΡΡΠ΅ΡΡΠ²ΠΎ Π΄Π»Ρ ΡΡΠΏΠ΅ΡΠ½ΠΎΠ³ΠΎ ΠΊΠ°ΡΡΠ΅ΡΠ½ΠΎΠ³ΠΎ ΡΠΎΡΡΠ°.
TECH ΡΠ°ΡΠΏΠΎΠ»Π°Π³Π°Π΅Ρ ΡΠ°ΠΌΡΠΌΠΈ ΠΏΠΎΠ»Π½ΡΠΌΠΈ ΠΈ ΠΈΠ½ΡΠ΅Π½ΡΠΈΠ²Π½ΡΠΌΠΈ ΡΡΠ΅Π±Π½ΡΠΌΠΈ ΠΏΡΠΎΠ³ΡΠ°ΠΌΠΌΠ°ΠΌΠΈ Π² ΡΠΎΠ²ΡΠ΅ΠΌΠ΅Π½Π½ΠΎΠΉ ΠΎΠ±ΡΠ°Π·ΠΎΠ²Π°ΡΠ΅Π»ΡΠ½ΠΎΠΉ ΡΡΠ΅ΡΠ΅.
ΠΡΡΡΠΈΠΉ ΠΌΠ΅ΠΆΠ΄ΡΠ½Π°ΡΠΎΠ΄Π½ΡΠΉ ΠΏΡΠ΅ΠΏΠΎΠ΄Π°Π²Π°ΡΠ΅Π»ΡΡΠΊΠΈΠΉ ΡΠΎΡΡΠ°Π²
ΠΡΠ΅ΠΏΠΎΠ΄Π°Π²Π°ΡΠ΅Π»ΡΡΠΊΠΈΠΉ ΡΠΎΡΡΠ°Π² TECH Π²ΠΊΠ»ΡΡΠ°Π΅Ρ Π±ΠΎΠ»Π΅Π΅ 6 000 ΡΠΏΠ΅ΡΠΈΠ°Π»ΠΈΡΡΠΎΠ² Ρ ΠΌΠΈΡΠΎΠ²ΡΠΌ ΠΏΡΠΈΠ·Π½Π°Π½ΠΈΠ΅ΠΌ. Π‘ΡΠ΅Π΄ΠΈ ΠΏΡΠΎΡΠ΅ΡΡΠΎΡΠΎΠ², ΠΈΡΡΠ»Π΅Π΄ΠΎΠ²Π°ΡΠ΅Π»Π΅ΠΉ ΠΈ ΡΠΎΠΏ-ΠΌΠ΅Π½Π΅Π΄ΠΆΠ΅ΡΠΎΠ² ΡΡΠ°Π½ΡΠ½Π°ΡΠΈΠΎΠ½Π°Π»ΡΠ½ΡΡ ΠΊΠΎΡΠΏΠΎΡΠ°ΡΠΈΠΉ β ΠΡΠ°ΠΉΡ ΠΠΎΠ²ΠΈΠ½Π³ΡΠΎΠ½, ΡΡΠ΅Π½Π΅Ρ "ΠΠΎΡΡΠΎΠ½ Π‘Π΅Π»ΡΠΈΠΊΡ", ΠΠ°Π³Π΄Π° Π ΠΎΠΌΠ°Π½ΡΠΊΠ°, Π³Π»Π°Π²Π½ΡΠΉ ΠΈΡΡΠ»Π΅Π΄ΠΎΠ²Π°ΡΠ΅Π»Ρ Harvard MetaLAB, ΠΠ³Π½Π°ΡΠΈΠΎ ΠΠΈΡΡΡΠΌΠ±Π°, ΠΏΡΠ΅Π΄ΡΠ΅Π΄Π°ΡΠ΅Π»Ρ ΠΎΡΠ΄Π΅Π»Π΅Π½ΠΈΡ ΡΡΠ°Π½ΡΠ»ΡΡΠΈΠΎΠ½Π½ΠΎΠΉ ΠΌΠΎΠ»Π΅ΠΊΡΠ»ΡΡΠ½ΠΎΠΉ ΠΏΠ°ΡΠΎΠ»ΠΎΠ³ΠΈΠΈ Π² MD Anderson Cancer Center, Π.Π£. ΠΠ°ΠΉΠ½, ΠΊΡΠ΅Π°ΡΠΈΠ²Π½ΡΠΉ Π΄ΠΈΡΠ΅ΠΊΡΠΎΡ ΠΆΡΡΠ½Π°Π»Π° TIME ΠΈ Π΄ΡΡΠ³ΠΈΠ΅.
ΠΠΊΡΠΏΠ΅ΡΡΡ ΠΌΠΈΡΠΎΠ²ΠΎΠ³ΠΎ ΡΡΠΎΠ²Π½Ρ, ΡΠΏΠ΅ΡΠΈΠ°Π»ΠΈΠ·ΠΈΡΡΡΡΠΈΠ΅ΡΡ Π² ΡΠ°Π·Π»ΠΈΡΠ½ΡΡ ΠΎΠ±Π»Π°ΡΡΡΡ Π·Π΄ΡΠ°Π²ΠΎΠΎΡ ΡΠ°Π½Π΅Π½ΠΈΡ, ΡΠ΅Ρ Π½ΠΎΠ»ΠΎΠ³ΠΈΠΉ, ΠΊΠΎΠΌΠΌΡΠ½ΠΈΠΊΠ°ΡΠΈΠΉ ΠΈ Π±ΠΈΠ·Π½Π΅ΡΠ°, Π²Ρ ΠΎΠ΄ΡΡ Π² ΠΏΡΠ΅ΠΏΠΎΠ΄Π°Π²Π°ΡΠ΅Π»ΡΡΠΊΠΈΠΉ ΡΠΎΡΡΠ°Π² TECH.
Π£Π½ΠΈΠΊΠ°Π»ΡΠ½ΡΠΉ ΠΌΠ΅ΡΠΎΠ΄ ΠΎΠ±ΡΡΠ΅Π½ΠΈΡ
TECH β ΠΏΠ΅ΡΠ²ΡΠΉ ΡΠ½ΠΈΠ²Π΅ΡΡΠΈΡΠ΅Ρ, ΠΈΡΠΏΠΎΠ»ΡΠ·ΡΡΡΠΈΠΉ ΠΌΠ΅ΡΠΎΠ΄ Relearning Π²ΠΎ Π²ΡΠ΅Ρ ΡΠ²ΠΎΠΈΡ ΡΡΠ΅Π±Π½ΡΡ ΠΏΡΠΎΠ³ΡΠ°ΠΌΠΌΠ°Ρ . ΠΡΠΎ Π»ΡΡΡΠ°Ρ ΠΌΠ΅ΡΠΎΠ΄ΠΎΠ»ΠΎΠ³ΠΈΡ ΠΎΠ½Π»Π°ΠΉΠ½-ΠΎΠ±ΡΡΠ΅Π½ΠΈΡ, ΡΠ΅ΡΡΠΈΡΠΈΡΠΈΡΠΎΠ²Π°Π½Π½Π°Ρ ΠΌΠ΅ΠΆΠ΄ΡΠ½Π°ΡΠΎΠ΄Π½ΡΠΌΠΈ Π°Π³Π΅Π½ΡΡΡΠ²Π°ΠΌΠΈ ΠΎΠ±ΡΠ°Π·ΠΎΠ²Π°ΡΠ΅Π»ΡΠ½ΠΎΠ³ΠΎ ΠΊΠ°ΡΠ΅ΡΡΠ²Π°. ΠΡΠΎΠΌΠ΅ ΡΠΎΠ³ΠΎ, ΡΡΠ° ΠΈΠ½Π½ΠΎΠ²Π°ΡΠΈΠΎΠ½Π½Π°Ρ Π°ΠΊΠ°Π΄Π΅ΠΌΠΈΡΠ΅ΡΠΊΠ°Ρ ΠΌΠΎΠ΄Π΅Π»Ρ Π΄ΠΎΠΏΠΎΠ»Π½ΡΠ΅ΡΡΡ βΠΠ΅ΡΠΎΠ΄ΠΎΠΌ ΠΊΠ΅ΠΉΡΠΎΠ²β, ΡΠΎΡΠΌΠΈΡΡΡ ΡΠ½ΠΈΠΊΠ°Π»ΡΠ½ΡΡ ΡΡΡΠ°ΡΠ΅Π³ΠΈΡ ΠΎΠ½Π»Π°ΠΉΠ½-ΠΎΠ±ΡΡΠ΅Π½ΠΈΡ. Π ΠΏΡΠΎΠ³ΡΠ°ΠΌΠΌΡ ΡΠ°ΠΊΠΆΠ΅ Π²ΠΊΠ»ΡΡΠ΅Π½Ρ ΠΏΠ΅ΡΠ΅Π΄ΠΎΠ²ΡΠ΅ ΡΡΠ΅Π±Π½ΡΠ΅ ΡΠ΅ΡΡΡΡΡ, ΡΡΠ΅Π΄ΠΈ ΠΊΠΎΡΠΎΡΡΡ ΠΏΠΎΠ΄ΡΠΎΠ±Π½ΡΠ΅ Π²ΠΈΠ΄Π΅ΠΎΠΌΠ°ΡΠ΅ΡΠΈΠ°Π»Ρ, ΠΈΠ½ΡΠΎΠ³ΡΠ°ΡΠΈΠΊΠΈ ΠΈ ΠΈΠ½ΡΠ΅ΡΠ°ΠΊΡΠΈΠ²Π½ΡΠ΅ ΠΊΠΎΠ½ΡΠΏΠ΅ΠΊΡΡ.
TECH ΡΠΎΡΠ΅ΡΠ°Π΅Ρ ΠΌΠ΅ΡΠΎΠ΄ Relearning ΠΈ ΠΌΠ΅ΡΠΎΠ΄ ΠΊΠ΅ΠΉΡ-ΡΡΠ°Π΄ΠΈ Π²ΠΎ Π²ΡΠ΅Ρ ΡΠ²ΠΎΠΈΡ ΡΠ½ΠΈΠ²Π΅ΡΡΠΈΡΠ΅ΡΡΠΊΠΈΡ ΠΏΡΠΎΠ³ΡΠ°ΠΌΠΌΠ°Ρ , ΡΡΠΎΠ±Ρ ΠΎΠ±Π΅ΡΠΏΠ΅ΡΠΈΡΡ ΡΠ΅ΠΎΡΠ΅ΡΠΈΠΊΠΎ-ΠΏΡΠ°ΠΊΡΠΈΡΠ΅ΡΠΊΠΎΠ΅ ΠΎΠ±ΡΡΠ΅Π½ΠΈΠ΅ Π²ΡΡΠΎΠΊΠΎΠ³ΠΎ ΡΡΠΎΠ²Π½Ρ, ΠΏΠΎΠ·Π²ΠΎΠ»ΡΡ ΡΡΠΈΡΡΡΡ Π² Π»ΡΠ±ΠΎΠ΅ Π²ΡΠ΅ΠΌΡ ΠΈ Π² Π»ΡΠ±ΠΎΠΌ ΠΌΠ΅ΡΡΠ΅.
ΠΡΡΠΏΠ½Π΅ΠΉΡΠΈΠΉ ΡΠΈΡΡΠΎΠ²ΠΎΠΉ ΡΠ½ΠΈΠ²Π΅ΡΡΠΈΡΠ΅Ρ Π² ΠΌΠΈΡΠ΅
TECH β ΠΊΡΡΠΏΠ½Π΅ΠΉΡΠΈΠΉ Π² ΠΌΠΈΡΠ΅ ΡΠΈΡΡΠΎΠ²ΠΎΠΉ ΡΠ½ΠΈΠ²Π΅ΡΡΠΈΡΠ΅Ρ. ΠΡ β ΠΊΡΡΠΏΠ½Π΅ΠΉΡΠ΅Π΅ ΠΎΠ±ΡΠ°Π·ΠΎΠ²Π°ΡΠ΅Π»ΡΠ½ΠΎΠ΅ ΡΡΡΠ΅ΠΆΠ΄Π΅Π½ΠΈΠ΅ Ρ ΡΠ°ΠΌΡΠΌ ΠΎΠ±ΡΠΈΡΠ½ΡΠΌ ΡΠΈΡΡΠΎΠ²ΡΠΌ ΠΊΠ°ΡΠ°Π»ΠΎΠ³ΠΎΠΌ ΡΡΠ΅Π±Π½ΡΡ ΠΏΡΠΎΠ³ΡΠ°ΠΌΠΌ, ΠΏΠΎΠ»Π½ΠΎΡΡΡΡ ΠΎΠ½Π»Π°ΠΉΠ½, ΠΎΡ Π²Π°ΡΡΠ²Π°ΡΡΠΈΠΌ Π±ΠΎΠ»ΡΡΠΈΠ½ΡΡΠ²ΠΎ ΠΎΠ±Π»Π°ΡΡΠ΅ΠΉ Π·Π½Π°Π½ΠΈΠΉ. ΠΡ ΠΏΡΠ΅Π΄Π»Π°Π³Π°Π΅ΠΌ ΡΠ°ΠΌΠΎΠ΅ Π±ΠΎΠ»ΡΡΠΎΠ΅ ΠΊΠΎΠ»ΠΈΡΠ΅ΡΡΠ²ΠΎ ΠΏΡΠΎΠ³ΡΠ°ΠΌΠΌ Ρ Π²ΡΠ΄Π°ΡΠ΅ΠΉ Π΄ΠΈΠΏΠ»ΠΎΠΌΠΎΠ² ΡΠΎΠ±ΡΡΠ²Π΅Π½Π½ΠΎΠ³ΠΎ ΠΎΠ±ΡΠ°Π·ΡΠ°, Π° ΡΠ°ΠΊΠΆΠ΅ ΠΎΡΠΈΡΠΈΠ°Π»ΡΠ½ΡΡ ΠΏΡΠΎΠ³ΡΠ°ΠΌΠΌ Π±Π°ΠΊΠ°Π»Π°Π²ΡΠΈΠ°ΡΠ° ΠΈ ΠΏΡΠΎΠ³ΡΠ°ΠΌΠΌ ΠΏΠΎΡΠ»Π΅Π΄ΠΈΠΏΠ»ΠΎΠΌΠ½ΠΎΠΉ ΠΏΠΎΠ΄Π³ΠΎΡΠΎΠ²ΠΊΠΈ Π² ΠΌΠΈΡΠ΅. Π ΠΎΠ±ΡΠ΅ΠΉ ΡΠ»ΠΎΠΆΠ½ΠΎΡΡΠΈ Π±ΠΎΠ»Π΅Π΅ 14 000 ΡΠ½ΠΈΠ²Π΅ΡΡΠΈΡΠ΅ΡΡΠΊΠΈΡ ΠΏΡΠΎΠ³ΡΠ°ΠΌΠΌ Π½Π° ΠΎΠ΄ΠΈΠ½Π½Π°Π΄ΡΠ°ΡΠΈ ΡΠ·ΡΠΊΠ°Ρ , ΡΡΠΎ Π΄Π΅Π»Π°Π΅Ρ Π½Π°Ρ ΠΊΡΡΠΏΠ½Π΅ΠΉΡΠΈΠΌ ΠΎΠ±ΡΠ°Π·ΠΎΠ²Π°ΡΠ΅Π»ΡΠ½ΡΠΌ ΡΡΡΠ΅ΠΆΠ΄Π΅Π½ΠΈΠ΅ΠΌ Π² ΠΌΠΈΡΠ΅.
TECH ΡΠ°ΡΠΏΠΎΠ»Π°Π³Π°Π΅Ρ ΡΠ°ΠΌΡΠΌ ΠΎΠ±ΡΠΈΡΠ½ΡΠΌ Π² ΠΌΠΈΡΠ΅ ΠΊΠ°ΡΠ°Π»ΠΎΠ³ΠΎΠΌ Π°ΠΊΠ°Π΄Π΅ΠΌΠΈΡΠ΅ΡΠΊΠΈΡ ΠΈ ΠΎΡΠΈΡΠΈΠ°Π»ΡΠ½ΡΡ ΠΏΡΠΎΠ³ΡΠ°ΠΌΠΌ, Π΄ΠΎΡΡΡΠΏΠ½ΡΡ Π½Π° Π±ΠΎΠ»Π΅Π΅ ΡΠ΅ΠΌ 11 ΡΠ·ΡΠΊΠ°Ρ .
Google Partner Premier
ΠΠΌΠ΅ΡΠΈΠΊΠ°Π½ΡΠΊΠΈΠΉ ΡΠ΅Ρ Π½ΠΎΠ»ΠΎΠ³ΠΈΡΠ΅ΡΠΊΠΈΠΉ Π³ΠΈΠ³Π°Π½Ρ ΠΏΡΠΈΡΠ²ΠΎΠΈΠ» TECH Π·Π½Π°ΠΊ Google Partner Premier. ΠΡΠ° Π½Π°Π³ΡΠ°Π΄Π°, Π΄ΠΎΡΡΡΠΏΠ½Π°Ρ Π»ΠΈΡΡ 3% ΠΊΠΎΠΌΠΏΠ°Π½ΠΈΠΉ ΠΌΠΈΡΠ°, ΠΏΠΎΠ΄ΡΠ΅ΡΠΊΠΈΠ²Π°Π΅Ρ ΡΡΡΠ΅ΠΊΡΠΈΠ²Π½ΡΠΉ, Π³ΠΈΠ±ΠΊΠΈΠΉ ΠΈ Π°Π΄Π°ΠΏΡΠΈΡΠΎΠ²Π°Π½Π½ΡΠΉ ΠΏΠΎΠ΄Ρ ΠΎΠ΄, ΠΊΠΎΡΠΎΡΡΠΉ ΡΡΠΎΡ ΡΠ½ΠΈΠ²Π΅ΡΡΠΈΡΠ΅Ρ ΠΏΡΠ΅Π΄ΠΎΡΡΠ°Π²Π»ΡΠ΅Ρ ΡΠ²ΠΎΠΈΠΌ ΡΡΡΠ΄Π΅Π½ΡΠ°ΠΌ. ΠΡΠΈΠ·Π½Π°Π½ΠΈΠ΅ Π½Π΅ ΡΠΎΠ»ΡΠΊΠΎ ΠΏΠΎΠ΄ΡΠ²Π΅ΡΠΆΠ΄Π°Π΅Ρ Π²ΡΡΠΎΠΊΠΈΠΉ ΡΡΠΎΠ²Π΅Π½Ρ ΡΡΡΠΎΠ³ΠΎΡΡΠΈ, ΠΏΡΠΎΠΈΠ·Π²ΠΎΠ΄ΠΈΡΠ΅Π»ΡΠ½ΠΎΡΡΠΈ ΠΈ ΠΈΠ½Π²Π΅ΡΡΠΈΡΠΈΠΉ Π² ΡΠΈΡΡΠΎΠ²ΡΡ ΠΈΠ½ΡΡΠ°ΡΡΡΡΠΊΡΡΡΡ TECH, Π½ΠΎ ΠΈ ΡΡΠ°Π²ΠΈΡ ΡΡΠΎΡ ΡΠ½ΠΈΠ²Π΅ΡΡΠΈΡΠ΅Ρ ΡΡΠ΅Π΄ΠΈ Π²Π΅Π΄ΡΡΠΈΡ ΡΠ΅Ρ Π½ΠΎΠ»ΠΎΠ³ΠΈΡΠ΅ΡΠΊΠΈΡ ΠΊΠΎΠΌΠΏΠ°Π½ΠΈΠΉ ΠΌΠΈΡΠ°.
Google ΠΏΠΎΠΌΠ΅ΡΡΠΈΠ» TECH Π² ΡΠΎΠΏ-3% ΡΠ°ΠΌΡΡ Π²Π°ΠΆΠ½ΡΡ ΡΠ΅Ρ Π½ΠΎΠ»ΠΎΠ³ΠΈΡΠ΅ΡΠΊΠΈΡ ΠΊΠΎΠΌΠΏΠ°Π½ΠΈΠΉ ΠΌΠΈΡΠ°, ΠΏΡΠΈΡΡΠ΄ΠΈΠ² Π΅ΠΉ Π·Π½Π°ΠΊ Google Partner Premier.
ΠΡΠΈΡΠΈΠ°Π»ΡΠ½ΡΠΉ ΠΎΠ½Π»Π°ΠΉΠ½-ΡΠ½ΠΈΠ²Π΅ΡΡΠΈΡΠ΅Ρ NBA
TECH β ΠΎΡΠΈΡΠΈΠ°Π»ΡΠ½ΡΠΉ ΠΎΠ½Π»Π°ΠΉΠ½-ΡΠ½ΠΈΠ²Π΅ΡΡΠΈΡΠ΅Ρ NBA. ΠΠ»Π°Π³ΠΎΠ΄Π°ΡΡ Π½Π°ΡΠ΅ΠΌΡ ΠΏΠ°ΡΡΠ½Π΅ΡΡΡΠ²Ρ Ρ ΠΊΡΡΠΏΠ½Π΅ΠΉΡΠ΅ΠΉ Π±Π°ΡΠΊΠ΅ΡΠ±ΠΎΠ»ΡΠ½ΠΎΠΉ Π»ΠΈΠ³ΠΎΠΉ ΠΌΡ ΠΏΡΠ΅Π΄Π»Π°Π³Π°Π΅ΠΌ ΡΡΡΠ΄Π΅Π½ΡΠ°ΠΌ ΡΠΊΡΠΊΠ»ΡΠ·ΠΈΠ²Π½ΡΠ΅ ΠΎΠ±ΡΠ°Π·ΠΎΠ²Π°ΡΠ΅Π»ΡΠ½ΡΠ΅ ΠΏΡΠΎΠ³ΡΠ°ΠΌΠΌΡ, Π° ΡΠ°ΠΊΠΆΠ΅ ΡΠΈΡΠΎΠΊΠΈΠΉ ΡΠΏΠ΅ΠΊΡΡ ΡΡΠ΅Π±Π½ΡΡ ΠΌΠ°ΡΠ΅ΡΠΈΠ°Π»ΠΎΠ², ΠΏΠΎΡΠ²ΡΡΠ΅Π½Π½ΡΡ Π±ΠΈΠ·Π½Π΅ΡΡ Π»ΠΈΠ³ΠΈ ΠΈ Π΄ΡΡΠ³ΠΈΠΌ Π°ΡΠΏΠ΅ΠΊΡΠ°ΠΌ ΡΠΏΠΎΡΡΠΈΠ²Π½ΠΎΠΉ ΠΈΠ½Π΄ΡΡΡΡΠΈΠΈ. ΠΠ°ΠΆΠ΄Π°Ρ ΠΏΡΠΎΠ³ΡΠ°ΠΌΠΌΠ° ΠΈΠΌΠ΅Π΅Ρ ΡΠ½ΠΈΠΊΠ°Π»ΡΠ½ΡΠΉ ΡΡΠ΅Π±Π½ΡΠΉ ΠΏΠ»Π°Π½ ΠΈ Π²ΠΊΠ»ΡΡΠ°Π΅Ρ Π²ΡΠ΄Π°ΡΡΠΈΡ ΡΡ ΠΏΡΠΈΠ³Π»Π°ΡΠ΅Π½Π½ΡΡ Π»Π΅ΠΊΡΠΎΡΠΎΠ² β ΠΏΡΠΎΡΠ΅ΡΡΠΈΠΎΠ½Π°Π»ΠΎΠ² Ρ Π²ΡΠ΄Π°ΡΡΠ΅ΠΉΡΡ ΡΠΏΠΎΡΡΠΈΠ²Π½ΠΎΠΉ ΠΊΠ°ΡΡΠ΅ΡΠΎΠΉ, ΠΊΠΎΡΠΎΡΡΠ΅ ΠΏΠΎΠ΄Π΅Π»ΡΡΡΡ ΡΠ²ΠΎΠΈΠΌ ΠΎΠΏΡΡΠΎΠΌ ΠΏΠΎ ΡΠ°ΠΌΡΠΌ Π°ΠΊΡΡΠ°Π»ΡΠ½ΡΠΌ ΡΠ΅ΠΌΠ°ΠΌ.
TECH Π±ΡΠ» ΠΏΡΠΈΠ·Π½Π°Π½ NBA, ΡΠ°ΠΌΠΎΠΉ Π²Π°ΠΆΠ½ΠΎΠΉ Π±Π°ΡΠΊΠ΅ΡΠ±ΠΎΠ»ΡΠ½ΠΎΠΉ Π»ΠΈΠ³ΠΎΠΉ ΠΌΠΈΡΠ°, ΠΎΡΠΈΡΠΈΠ°Π»ΡΠ½ΡΠΌ ΠΎΠ½Π»Π°ΠΉΠ½-ΡΠ½ΠΈΠ²Π΅ΡΡΠΈΡΠ΅ΡΠΎΠΌ.
Π£Π½ΠΈΠ²Π΅ΡΡΠΈΡΠ΅Ρ, ΠΏΠΎΠ»ΡΡΠΈΠ²ΡΠΈΠΉ ΡΠ°ΠΌΡΠ΅ Π²ΡΡΠΎΠΊΠΈΠ΅ ΠΎΡΠ΅Π½ΠΊΠΈ ΠΎΡ ΡΠ²ΠΎΠΈΡ ΡΡΡΠ΄Π΅Π½ΡΠΎΠ²
Π‘ΡΡΠ΄Π΅Π½ΡΡ ΠΏΡΠΈΠ·Π½Π°Π»ΠΈ TECH ΡΠ°ΠΌΡΠΌ Π²ΡΡΠΎΠΊΠΎ ΠΎΡΠ΅Π½Π΅Π½Π½ΡΠΌ ΡΠ½ΠΈΠ²Π΅ΡΡΠΈΡΠ΅ΡΠΎΠΌ Π² ΠΌΠΈΡΠ΅ Π½Π° Π²Π΅Π΄ΡΡΠΈΡ ΠΏΠ»Π°ΡΡΠΎΡΠΌΠ°Ρ Ρ ΠΎΡΠ·ΡΠ²Π°ΠΌΠΈ, ΠΎΡΠΌΠ΅ΡΠΈΠ² Π΅Π³ΠΎ Π²ΡΡΡΠΈΠΉ ΡΠ΅ΠΉΡΠΈΠ½Π³ β 4,9 ΠΈΠ· 5, ΠΎΡΠ½ΠΎΠ²Π°Π½Π½ΡΠΉ Π½Π° Π±ΠΎΠ»Π΅Π΅ ΡΠ΅ΠΌ 1 000 ΡΠ΅ΡΠ΅Π½Π·ΠΈΡΡ . ΠΡΠΈ ΡΠ΅Π·ΡΠ»ΡΡΠ°ΡΡ ΡΠΊΡΠ΅ΠΏΠ»ΡΡΡ ΠΏΠΎΠ·ΠΈΡΠΈΠΈ TECH ΠΊΠ°ΠΊ Π²Π΅Π΄ΡΡΠ΅Π³ΠΎ ΠΌΠ΅ΠΆΠ΄ΡΠ½Π°ΡΠΎΠ΄Π½ΠΎΠ³ΠΎ ΡΠ½ΠΈΠ²Π΅ΡΡΠΈΡΠ΅ΡΠ°, ΠΎΡΡΠ°ΠΆΠ°Ρ Π΅Π³ΠΎ ΠΏΡΠ΅Π²ΠΎΡΡ ΠΎΠ΄ΡΡΠ²ΠΎ ΠΈ ΠΏΠΎΠ»ΠΎΠΆΠΈΡΠ΅Π»ΡΠ½ΠΎΠ΅ Π²Π»ΠΈΡΠ½ΠΈΠ΅ ΠΎΠ±ΡΠ°Π·ΠΎΠ²Π°ΡΠ΅Π»ΡΠ½ΠΎΠΉ ΠΌΠΎΠ΄Π΅Π»ΠΈ.
TECH β ΡΡΠΎ ΡΠ½ΠΈΠ²Π΅ΡΡΠΈΡΠ΅Ρ, ΠΊΠΎΡΠΎΡΡΠΉ ΠΈΠΌΠ΅Π΅Ρ Π½Π°ΠΈΠ²ΡΡΡΡΡ ΠΎΡΠ΅Π½ΠΊΡ ΡΡΠ΅Π΄ΠΈ ΡΠ²ΠΎΠΈΡ ΡΡΡΠ΄Π΅Π½ΡΠΎΠ² Π² ΠΌΠΈΡΠ΅.
ΠΠΈΠ΄Π΅ΡΡ ΠΏΠΎ ΡΡΡΠ΄ΠΎΡΡΡΡΠΎΠΉΡΡΠ²Ρ
TECH ΡΠ΄Π°Π»ΠΎΡΡ ΡΡΠ°ΡΡ ΡΠ½ΠΈΠ²Π΅ΡΡΠΈΡΠ΅ΡΠΎΠΌ-Π»ΠΈΠ΄Π΅ΡΠΎΠΌ ΠΏΠΎ ΡΡΡΠ΄ΠΎΡΡΡΡΠΎΠΉΡΡΠ²Ρ. 99% ΡΡΡΠ΄Π΅Π½ΡΠΎΠ² ΠΏΠΎΠ»ΡΡΠ°ΡΡ ΡΠ°Π±ΠΎΡΡ ΠΏΠΎ ΡΠΏΠ΅ΡΠΈΠ°Π»ΡΠ½ΠΎΡΡΠΈ Π² ΡΠ΅ΡΠ΅Π½ΠΈΠ΅ ΠΎΠ΄Π½ΠΎΠ³ΠΎ Π³ΠΎΠ΄Π° ΠΏΠΎΡΠ»Π΅ ΠΎΠΊΠΎΠ½ΡΠ°Π½ΠΈΡ Π»ΡΠ±ΠΎΠΉ ΠΈΠ· ΠΏΡΠΎΠ³ΡΠ°ΠΌΠΌ ΡΠ½ΠΈΠ²Π΅ΡΡΠΈΡΠ΅ΡΠ°. Π‘ΡΠΎΠ»ΡΠΊΠΎ ΠΆΠ΅ ΡΡΡΠ΄Π΅Π½ΡΠΎΠ² ΡΡΠ°Π·Ρ ΠΆΠ΅ Π΄ΠΎΠ±ΠΈΠ²Π°ΡΡΡΡ ΠΊΠ°ΡΡΠ΅ΡΠ½ΠΎΠ³ΠΎ ΡΠΎΡΡΠ°. ΠΡΠ΅ ΡΡΠΎ Π±Π»Π°Π³ΠΎΠ΄Π°ΡΡ ΠΌΠ΅ΡΠΎΠ΄ΠΎΠ»ΠΎΠ³ΠΈΠΈ ΠΎΠ±ΡΡΠ΅Π½ΠΈΡ, ΡΡΡΠ΅ΠΊΡΠΈΠ²Π½ΠΎΡΡΡ ΠΊΠΎΡΠΎΡΠΎΠΉ ΠΎΡΠ½ΠΎΠ²Π°Π½Π° Π½Π° ΠΏΡΠΈΠΎΠ±ΡΠ΅ΡΠ΅Π½ΠΈΠΈ ΠΏΡΠ°ΠΊΡΠΈΡΠ΅ΡΠΊΠΈΡ Π½Π°Π²ΡΠΊΠΎΠ², Π½Π΅ΠΎΠ±Ρ ΠΎΠ΄ΠΈΠΌΡΡ Π΄Π»Ρ ΠΏΡΠΎΡΠ΅ΡΡΠΈΠΎΠ½Π°Π»ΡΠ½ΠΎΠ³ΠΎ ΡΠ°Π·Π²ΠΈΡΠΈΡ.
99% Π²ΡΠΏΡΡΠΊΠ½ΠΈΠΊΠΎΠ² TECH Π½Π°Ρ ΠΎΠ΄ΡΡ ΡΠ°Π±ΠΎΡΡ Π²ΡΠ΅Π³ΠΎ ΡΠ΅ΡΠ΅Π· Π³ΠΎΠ΄ ΠΏΠΎΡΠ»Π΅ ΠΎΠΊΠΎΠ½ΡΠ°Π½ΠΈΡ ΡΡΠ΅Π±Ρ.
Π£Π½ΠΈΠ²Π΅ΡΡΠΈΡΠ΅ΡΡΠΊΠΈΠΉ ΠΊΡΡΡ Π² ΠΎΠ±Π»Π°ΡΡΠΈ ΠΏΠ°ΡΠΎΠ»ΠΎΠ³ΠΈΠΈ ΠΈ ΡΠ΅ΡΠ°ΠΏΠΈΠΈ ΠΊΠ°ΡΠΈΠ΅ΡΠ° Π·ΡΠ±ΠΎΠ² Π² Π΄Π΅ΡΡΠΊΠΎΠΉ ΡΡΠΎΠΌΠ°ΡΠΎΠ»ΠΎΠ³ΠΈΠΈ
ΠΡΠΊΡΠΎΠΉΡΠ΅ Π΄Π»Ρ ΡΠ΅Π±Ρ ΠΊΠ»ΡΡΠΈ ΠΊ ΠΏΡΠΎΡΠΈΠ»Π°ΠΊΡΠΈΠΊΠ΅ ΠΈ Π»Π΅ΡΠ΅Π½ΠΈΡ ΠΊΠ°ΡΠΈΠ΅ΡΠ° Π·ΡΠ±ΠΎΠ² Ρ Π΄Π΅ΡΠ΅ΠΉ, ΠΏΡΠΎΠΉΠ΄Ρ Π£Π½ΠΈΠ²Π΅ΡΡΠΈΡΠ΅ΡΡΠΊΠΈΠΉ ΠΊΡΡΡ Π² ΠΎΠ±Π»Π°ΡΡΠΈ ΠΏΠ°ΡΠΎΠ»ΠΎΠ³ΠΈΠΈ ΠΈ ΡΠ΅ΡΠ°ΠΏΠΈΠΈ ΠΊΠ°ΡΠΈΠ΅ΡΠ° Π·ΡΠ±ΠΎΠ² Π² Π΄Π΅ΡΡΠΊΠΎΠΉ ΡΡΠΎΠΌΠ°ΡΠΎΠ»ΠΎΠ³ΠΈΠΈ Π² TECH Π’Π΅Ρ Π½ΠΎΠ»ΠΎΠ³ΠΈΡΠ΅ΡΠΊΠΎΠΌ ΡΠ½ΠΈΠ²Π΅ΡΡΠΈΡΠ΅ΡΠ΅. ΠΠ»Π°Π³ΠΎΠ΄Π°ΡΡ Π½Π°ΡΠΈΠΌ ΠΎΠ½Π»Π°ΠΉΠ½-Π·Π°Π½ΡΡΠΈΡΠΌ Π²Ρ ΠΏΠΎΠ»ΡΡΠΈΡΠ΅ Π·Π½Π°Π½ΠΈΡ ΠΈ Π½Π°Π²ΡΠΊΠΈ, Π½Π΅ΠΎΠ±Ρ ΠΎΠ΄ΠΈΠΌΡΠ΅ Π΄Π»Ρ ΠΎΠΊΠ°Π·Π°Π½ΠΈΡ ΡΠΏΠ΅ΡΠΈΠ°Π»ΠΈΠ·ΠΈΡΠΎΠ²Π°Π½Π½ΠΎΠΉ ΠΈ ΠΊΠ°ΡΠ΅ΡΡΠ²Π΅Π½Π½ΠΎΠΉ ΡΡΠΎΠΌΠ°ΡΠΎΠ»ΠΎΠ³ΠΈΡΠ΅ΡΠΊΠΎΠΉ ΠΏΠΎΠΌΠΎΡΠΈ Π΄Π΅ΡΡΠΌ. ΠΠ°ΡΠΈΠ΅Ρ Π·ΡΠ±ΠΎΠ² - ΠΎΠ΄Π½ΠΎ ΠΈΠ· ΡΠ°ΠΌΡΡ ΡΠ°ΡΠΏΡΠΎΡΡΡΠ°Π½Π΅Π½Π½ΡΡ Π·Π°Π±ΠΎΠ»Π΅Π²Π°Π½ΠΈΠΉ Π² Π΄Π΅ΡΡΠΊΠΎΠΌ Π²ΠΎΠ·ΡΠ°ΡΡΠ΅, ΠΈ ΠΏΡΠ°Π²ΠΈΠ»ΡΠ½ΡΠΉ ΠΏΠΎΠ΄Ρ ΠΎΠ΄ ΠΊ Π΅Π³ΠΎ Π»Π΅ΡΠ΅Π½ΠΈΡ ΠΊΡΠ°ΠΉΠ½Π΅ Π²Π°ΠΆΠ΅Π½ Π΄Π»Ρ ΠΎΠ±Π΅ΡΠΏΠ΅ΡΠ΅Π½ΠΈΡ Π·Π΄ΠΎΡΠΎΠ²ΡΡ ΠΏΠΎΠ»ΠΎΡΡΠΈ ΡΡΠ° Π΄Π΅ΡΠ΅ΠΉ. Π ΡΠ°ΠΌΠΊΠ°Ρ Π½Π°ΡΠ΅ΠΉ ΠΏΡΠΎΠ³ΡΠ°ΠΌΠΌΡ Π²Ρ ΠΈΠ·ΡΡΠΈΡΠ΅ Π½ΠΎΠ²Π΅ΠΉΡΠΈΠ΅ ΠΌΠ΅ΡΠΎΠ΄Ρ ΠΈ ΡΠΏΠΎΡΠΎΠ±Ρ Π»Π΅ΡΠ΅Π½ΠΈΡ ΠΏΠ°ΡΠΎΠ»ΠΎΠ³ΠΈΠΈ ΠΈ ΡΠ΅ΡΠ°ΠΏΠΈΠΈ ΠΊΠ°ΡΠΈΠ΅ΡΠ° Π·ΡΠ±ΠΎΠ², ΠΎΡΠ½ΠΎΠ²Π°Π½Π½ΡΠ΅ Π½Π° ΡΠ°ΠΌΡΡ ΡΠΎΠ²ΡΠ΅ΠΌΠ΅Π½Π½ΡΡ Π½Π°ΡΡΠ½ΡΡ Π΄Π°Π½Π½ΡΡ . ΠΡΠΈ ΠΎΠ½Π»Π°ΠΉΠ½-Π·Π°Π½ΡΡΠΈΡ ΠΏΠΎΠ·Π²ΠΎΠ»ΡΡ Π²Π°ΠΌ ΡΡΠΈΡΡΡΡ ΠΈΠ· Π»ΡΠ±ΠΎΠ³ΠΎ ΠΌΠ΅ΡΡΠ° ΠΈ Π² Π»ΡΠ±ΠΎΠ΅ Π²ΡΠ΅ΠΌΡ. ΠΠ»Π°Π³ΠΎΠ΄Π°ΡΡ Π΄ΠΎΡΡΡΠΏΡ ΠΊ Π½Π°ΡΠ΅ΠΌΡ Π²ΠΈΡΡΡΠ°Π»ΡΠ½ΠΎΠΌΡ ΠΊΠ°ΠΌΠΏΡΡΡ Π²Ρ ΡΠΌΠΎΠΆΠ΅ΡΠ΅ ΠΏΠΎΠ»ΡΡΠΈΡΡ Π΄ΠΎΡΡΡΠΏ ΠΊ ΠΈΠ½ΡΠ΅ΡΠ°ΠΊΡΠΈΠ²Π½ΡΠΌ ΡΡΠ΅Π±Π½ΡΠΌ ΠΌΠ°ΡΠ΅ΡΠΈΠ°Π»Π°ΠΌ, ΠΏΠΎΡΡΠ½ΠΈΡΠ΅Π»ΡΠ½ΡΠΌ Π²ΠΈΠ΄Π΅ΠΎΠΌΠ°ΡΠ΅ΡΠΈΠ°Π»Π°ΠΌ ΠΈ ΠΏΡΠ°ΠΊΡΠΈΡΠ΅ΡΠΊΠΈΠΌ Π·Π°Π½ΡΡΠΈΡΠΌ, ΠΊΠΎΡΠΎΡΡΠ΅ ΠΏΠΎΠ·Π²ΠΎΠ»ΡΡ Π²Π°ΠΌ ΡΡΠ°Π·Ρ ΠΆΠ΅ ΠΏΡΠΈΠΌΠ΅Π½ΠΈΡΡ ΠΈΠ·ΡΡΠ΅Π½Π½ΡΠ΅ ΠΊΠΎΠ½ΡΠ΅ΠΏΡΠΈΠΈ.
Π£ΡΠΈΡΠ΅ΡΡ Π½Π° Π»ΡΡΡΠ΅ΠΌ ΡΠ°ΠΊΡΠ»ΡΡΠ΅ΡΠ΅ ΡΡΠΎΠΌΠ°ΡΠΎΠ»ΠΎΠ³ΠΈΠΈ
Π TECH Π’Π΅Ρ Π½ΠΎΠ»ΠΎΠ³ΠΈΡΠ΅ΡΠΊΠΎΠΌ ΡΠ½ΠΈΠ²Π΅ΡΡΠΈΡΠ΅ΡΠ΅ ΡΠ°Π±ΠΎΡΠ°Π΅Ρ ΠΊΠΎΠΌΠ°Π½Π΄Π° ΠΏΡΠ΅ΠΏΠΎΠ΄Π°Π²Π°ΡΠ΅Π»Π΅ΠΉ, ΡΠΏΠ΅ΡΠΈΠ°Π»ΠΈΠ·ΠΈΡΡΡΡΠΈΡ ΡΡ Π½Π° Π΄Π΅ΡΡΠΊΠΎΠΉ ΡΡΠΎΠΌΠ°ΡΠΎΠ»ΠΎΠ³ΠΈΠΈ, ΠΊΠΎΡΠΎΡΡΠ΅ Π±ΡΠ΄ΡΡ Π½Π°ΠΏΡΠ°Π²Π»ΡΡΡ Π²Π°Ρ Π½Π° ΠΏΡΠΎΡΡΠΆΠ΅Π½ΠΈΠΈ Π²ΡΠ΅Π³ΠΎ ΠΏΡΠΎΡΠ΅ΡΡΠ° ΠΎΠ±ΡΡΠ΅Π½ΠΈΡ ΠΈ ΠΎΠΊΠ°Π·ΡΠ²Π°ΡΡ Π½Π΅ΠΎΠ±Ρ ΠΎΠ΄ΠΈΠΌΡΡ ΠΏΠΎΠ΄Π΄Π΅ΡΠΆΠΊΡ, ΡΡΠΎΠ±Ρ ΡΠ°Π·ΡΠ΅ΡΠΈΡΡ Π²Π°ΡΠΈ ΡΠΎΠΌΠ½Π΅Π½ΠΈΡ ΠΈ ΡΠ°ΡΡΠΈΡΠΈΡΡ Π²Π°ΡΠΈ Π·Π½Π°Π½ΠΈΡ. ΠΠΎ ΠΎΠΊΠΎΠ½ΡΠ°Π½ΠΈΠΈ Π£Π½ΠΈΠ²Π΅ΡΡΠΈΡΠ΅ΡΡΠΊΠΎΠ³ΠΎ ΠΊΡΡΡΠ° Π² ΠΎΠ±Π»Π°ΡΡΠΈ ΠΏΠ°ΡΠΎΠ»ΠΎΠ³ΠΈΠΈ ΠΈ ΡΠ΅ΡΠ°ΠΏΠΈΠΈ ΠΊΠ°ΡΠΈΠ΅ΡΠ° Π·ΡΠ±ΠΎΠ² Π² Π΄Π΅ΡΡΠΊΠΎΠΉ ΡΡΠΎΠΌΠ°ΡΠΎΠ»ΠΎΠ³ΠΈΠΈ Π²Ρ ΡΠΌΠΎΠΆΠ΅ΡΠ΅ ΡΡΠ°Π²ΠΈΡΡ ΡΠΎΡΠ½ΡΠΉ Π΄ΠΈΠ°Π³Π½ΠΎΠ· ΠΊΠ°ΡΠΈΠ΅ΡΠ° Π·ΡΠ±ΠΎΠ² Ρ Π΄Π΅ΡΠ΅ΠΉ, ΠΏΡΠΈΠΌΠ΅Π½ΡΡΡ ΡΠΎΠΎΡΠ²Π΅ΡΡΡΠ²ΡΡΡΠΈΠ΅ ΠΌΠ΅ΡΠΎΠ΄Ρ Π»Π΅ΡΠ΅Π½ΠΈΡ ΠΈ ΡΠ°Π·ΡΠ°Π±Π°ΡΡΠ²Π°ΡΡ ΡΡΡΠ΅ΠΊΡΠΈΠ²Π½ΡΠ΅ ΠΏΠ»Π°Π½Ρ ΠΏΡΠΎΡΠΈΠ»Π°ΠΊΡΠΈΠΊΠΈ. ΠΡΠΎΠΌΠ΅ ΡΠΎΠ³ΠΎ, Π²Ρ ΠΏΡΠΈΠΎΠ±ΡΠ΅ΡΠ΅ΡΠ΅ Π½Π°Π²ΡΠΊΠΈ ΠΎΠ±ΡΠ΅Π½ΠΈΡ ΠΈ Π²Π΅Π΄Π΅Π½ΠΈΡ ΠΏΠ°ΡΠΈΠ΅Π½ΡΠΎΠ² Ρ Π΄Π΅ΡΡΠΌΠΈ, ΠΊΠΎΡΠΎΡΡΠ΅ Π½Π΅ΠΎΠ±Ρ ΠΎΠ΄ΠΈΠΌΡ Π² Π΄Π΅ΡΡΠΊΠΎΠΉ ΡΡΠΎΠΌΠ°ΡΠΎΠ»ΠΎΠ³ΠΈΠΈ. ΠΠΎΡΠΏΠΎΠ»ΡΠ·ΡΠΉΡΠ΅ΡΡ ΡΡΠΎΠΉ Π²ΠΎΠ·ΠΌΠΎΠΆΠ½ΠΎΡΡΡΡ ΡΠ°ΡΡΠΈΡΠΈΡΡ ΡΠ²ΠΎΠΈ Π·Π½Π°Π½ΠΈΡ ΠΈ Π²ΡΠ΄Π΅Π»ΠΈΡΡΡΡ Π² ΠΎΠ±Π»Π°ΡΡΠΈ Π΄Π΅ΡΡΠΊΠΎΠΉ ΡΡΠΎΠΌΠ°ΡΠΎΠ»ΠΎΠ³ΠΈΠΈ. ΠΠ°ΠΏΠΈΡΠΈΡΠ΅ΡΡ Π½Π° Π£Π½ΠΈΠ²Π΅ΡΡΠΈΡΠ΅ΡΡΠΊΠΈΠΉ ΠΊΡΡΡ, ΠΏΡΠ΅Π΄Π»Π°Π³Π°Π΅ΠΌΡΠΉ Π·Π°ΠΌΠ΅ΡΠ°ΡΠ΅Π»ΡΠ½ΡΠΌ ΡΡΠΎΠΌΠ°ΡΠΎΠ»ΠΎΠ³ΠΈΡΠ΅ΡΠΊΠΈΠΌ ΡΠ°ΠΊΡΠ»ΡΡΠ΅ΡΠΎΠΌ TECH Π’Π΅Ρ Π½ΠΎΠ»ΠΎΠ³ΠΈΡΠ΅ΡΠΊΠΎΠ³ΠΎ ΡΠ½ΠΈΠ²Π΅ΡΡΠΈΡΠ΅ΡΠ°, ΠΈ ΡΡΠ°Π½ΡΡΠ΅ Π²ΡΡΠΎΠΊΠΎΠΊΠ²Π°Π»ΠΈΡΠΈΡΠΈΡΠΎΠ²Π°Π½Π½ΡΠΌ ΡΠΏΠ΅ΡΠΈΠ°Π»ΠΈΡΡΠΎΠΌ Π² ΠΎΠ±Π»Π°ΡΡΠΈ ΡΡ ΠΎΠ΄Π° Π·Π° ΠΏΠΎΠ»ΠΎΡΡΡΡ ΡΡΠ° Π΄Π΅ΡΠ΅ΠΉ!