Diplôme universitaire
La plus grande faculté de médecine du monde”
Présentation
Développez votre formation avec nous et vous verrez comment vous progresserez dans votre pratique quotidienne"
La cytologie, qui a déjà joué un rôle très important dans le diagnostic du cancer du col de l'utérus, est aujourd'hui devenue un outil d'excellence, à condition d'être entre des mains expérimentées et de disposer des outils techniques permettant d'obtenir, à partir d'une poignée de cellules, des informations décisives sur certaines caractéristiques fonctionnelles de la tumeur, ainsi que sur une éventuelle résistance à certains médicaments thérapeutiques.
Ces derniers temps, le Diagnostic Cytologique a considérablement évolué, permettant de réaliser des colorations immunohistochimiques (Immunocytochimie), des mutations ou autres altérations génomiques spécifiques, mais aussi de le statut de biomarqueurs essentiels dans la gestion du cancer. Dans ces modules, nous aborderons de manière exhaustive les détails cytologiques les plus importants qui permettent le diagnostic des néoplasmes dans différents organes et contextes, ainsi que les différentes techniques utilisées pour obtenir du matériel cytologique.
Enfin, nous aborderons le rôle du cytologue au sein de l'équipe multidisciplinaire de diagnostic et de prise en charge du cancer, son rôle dans la conception de nouveaux médicaments et de l'immunothérapie.
Ce Certificat vous permettra de développer les compétences, les aptitudes et les capacités propices à l'exercice de la profession, générant ainsi une plus grande valeur ajoutée à votre performance professionnelle.
Ce Certificat online est élaboré par des professionnels de la santé qui ont une grande expérience de cette pathologie et qui mettent à la disposition des étudiants leurs connaissances, leur expérience et des cas pratiques qui donnent à ce cours la qualité de spécialisation dans ce domaine.
La cytologie est un outil important dans le diagnostic du cancer, à condition qu'elle soit entre des mains expérimentées"
Ce Certificat en Diagnostic Cytologique contient le programme scientifique le plus complet et le plus actuel du marché. Les caractéristiques les plus importantes du Diplôme sont:
- Le développement d'études de cas présentées par des experts en Diagnostic Cytologie
- Les contenus graphiques, schématiques et éminemment pratiques avec lesquels ils sont conçus et fournissent des informations scientifiques et pratique essentielles pour une pratique professionnelle de qualité
- Les récentes actualisations en Diagnostic Cytologique
- Des exercices pratiques où le processus d'auto-évaluation peut être réalisé pour améliorer l'apprentissage
- Il met l'accent sur les méthodologies innovantes en Diagnostic Cytologie
- Des cours théoriques, des questions à l'expert, des forums de discussion sur des sujets controversés et un travail de réflexion individuel
- Disponibilité du contenu à partir de tout appareil fixe ou portable doté d'une connexion à internet
Ce Certificat est surement le meilleur investissement que vous puissiez faire concernant le choix d'une formation pour deux raisons: en plus d’actualiser vos connaissances en matière de Diagnostic Cytologique, vous obtiendrez un diplôme de Certificat de TECH Université Technologique"
Son corps enseignant comprend des professionnels du domaine des Diagnostics Cytologiques qui apportent leur expérience professionnelle à cette formation, ainsi que des spécialistes reconnus par des sociétés de premier plan et des universités prestigieuses.
Grâce à son contenu multimédia développé avec les dernières technologies éducatives, les spécialistes bénéficieront d’un apprentissage situé et contextuel. Ainsi, ils se formeront dans un environnement simulé qui leur permettra d’apprendre en immersion et de s’entrainer dans des situations réelles.
La conception de ce programme est basée sur l'Apprentissage par les Problèmes, grâce auquel le médecin devra essayer de résoudre les différentes situations de pratique professionnelle qui se présentent tout au long du diplôme. À cette fin, le professionnel s'appuiera sur un système vidéo interactif innovant, créé par des experts reconnus dans le domaine des Diagnostics Cytologiques et avec une grande expérience médicale.
Augmentez vos performances professionnelles et améliorez la qualité de vie de vos patients”
Saisissez l'occasion de vous informer sur les dernières avancées en Diagnostic Cytologique et d'améliorer la santé de vos patients”
Pourquoi étudier à TECH ?
TECH TECH est la plus grande Université numérique du monde. Avec un catalogue impressionnant de plus de 14 000 programmes universitaires, disponibles en 11 langues, elle se positionne comme un leader en matière d'employabilité, avec un taux de placement de 99 %. En outre, elle dispose d'un vaste corps professoral composé de plus de 6 000 professeurs de renommée internationale.

Étudiez dans la plus grande université numérique du monde et assurez votre réussite professionnelle. L'avenir commence à TECH”
La meilleure université en ligne du monde, selon FORBES
Le prestigieux magazine Forbes, spécialisé dans les affaires et la finance, a désigné TECH comme « la meilleure université en ligne du monde ». C'est ce qu'ils ont récemment déclaré dans un article de leur édition numérique dans lequel ils se font l'écho de la réussite de cette institution, « grâce à l'offre académique qu'elle propose, à la sélection de son corps enseignant et à une méthode d'apprentissage innovante visant à former les professionnels du futur ».
Une méthode d'étude innovante, un corps professoral de pointe et une orientation pratique : la clé du succès de TECH.
Les programmes d'études les plus complets sur la scène universitaire
TECH offre les programmes d'études les plus complets sur la scène universitaire, avec des programmes qui couvrent les concepts fondamentaux et, en même temps, les principales avancées scientifiques dans leurs domaines scientifiques spécifiques. En outre, ces programmes sont continuellement mis à jour afin de garantir que les étudiants sont à la pointe du monde universitaire et qu'ils possèdent les compétences professionnelles les plus recherchées. De cette manière, les diplômes de l'université offrent à ses diplômés un avantage significatif pour propulser leur carrière vers le succès
TECH propose les programmes d'études les plus complets et les plus intensifs du panorama universitaire actuel.
Le meilleur personnel enseignant top international
Le corps enseignant de TECH se compose de plus de 6 000 professeurs jouissant du plus grand prestige international. Des professeurs, des chercheurs et des hauts responsables de multinationales, parmi lesquels figurent Isaiah Covington, entraîneur des Boston Celtics, Magda Romanska, chercheuse principale au Harvard MetaLAB, Ignacio Wistumba, président du département de pathologie moléculaire translationnelle au MD Anderson Cancer Center, et D.W. Pine, directeur de la création du magazine TIME, entre autres.
Des experts de renommée internationale, spécialisés dans divers domaines de la Santé, de la Technologie, de la Communication et des Affaires, font partie du corps professoral de TECH.
Une méthode d'apprentissage unique
TECH est la première université à utiliser le Relearning dans tous ses formations. Il s'agit de la meilleure méthodologie d'apprentissage en ligne, accréditée par des certifications internationales de qualité de l'enseignement, fournies par des agences éducatives prestigieuses. En outre, ce modèle académique perturbateur est complété par la « Méthode des Cas », configurant ainsi une stratégie d'enseignement en ligne unique. Des ressources pédagogiques innovantes sont également mises en œuvre, notamment des vidéos détaillées, des infographies et des résumés interactifs
TECH combine le Relearning et la Méthode des Cas dans tous ses programmes universitaires afin de garantir un excellent apprentissage théorique et pratique en étudiant quand et où vous le souhaitez.
La plus grande université numérique du monde
TECH est la plus grande université numérique du monde. Nous sommes la plus grande institution éducative, avec le meilleur et le plus vaste catalogue éducatif numérique, cent pour cent en ligne et couvrant la grande majorité des domaines de la connaissance. Nous proposons le plus grand nombre de diplômes propres, de diplômes officiels de troisième cycle et de premier cycle au monde. Au total, plus de 14 000 diplômes universitaires, dans onze langues différentes, font de nous la plus grande institution éducative au monde.
TECH possède le catalogue de programmes académiques et officiels le plus complet du monde et est disponible dans plus de 11 langues.
Google Partner Premier
Le géant américain de la technologie a décerné à TECH le badge Google Partner Premier. Ce prix, qui n'est décerné qu'à 3 % des entreprises dans le monde, souligne l'expérience efficace, flexible et adaptée que cette université offre aux étudiants. Cette reconnaissance atteste non seulement de la rigueur, de la performance et de l'investissement maximaux dans les infrastructures numériques de TECH, mais positionne également TECH comme l'une des principales entreprises technologiques au monde.
Google a placé TECH dans le top 3% des principales entreprises technologiques du monde en lui attribuant son badge Google Partner Premier.
L’université en ligne officielle de la NBA
TECH est l'université en ligne officielle de la NBA. Grâce à un accord avec la grande ligue de basket-ball, elle offre à ses étudiants des programmes universitaires exclusifs ainsi qu'un large éventail de ressources pédagogiques axées sur les activités de la ligue et d'autres domaines de l'industrie du sport. Chaque programme est conçu de manière unique et comprend des conférenciers exceptionnels : des professionnels ayant un passé sportif distingué qui apporteront leur expertise sur les sujets les plus pertinents.
TECH a été reconnue par la NBA, la première ligue mondiale de basket-ball, comme son université en ligne officielle.
L'université la mieux évaluée par ses étudiants
Les étudiants ont positionné TECH comme l'université la mieux évaluée du monde dans les principaux portails d'opinion, soulignant sa note la plus élevée de 4,9 sur 5, obtenue à partir de plus de 1 000 évaluations. Ces résultats consolident TECH en tant qu'institution universitaire de référence internationale, reflétant l'excellence et l'impact positif de son modèle éducatif”.
TECH est l'université la mieux évaluée au monde par ses étudiants
Leaders en matière d'employabilité
TECH a réussi à devenir l'université leader en matière d'employabilité. 99 % de ses étudiants obtiennent un emploi dans le domaine qu'ils ont étudié dans l'année qui suit la fin de l'un des programmes de l'université. Un nombre similaire parvient à améliorer immédiatement sa carrière. Tout cela grâce à une méthodologie d'étude qui fonde son efficacité sur l'acquisition de compétences pratiques, absolument nécessaires au développement professionnel.
99 % des diplômés TECH trouvent un emploi moins d'un an après la fin de leurs études.
Certificat en Diagnostic Cytologique
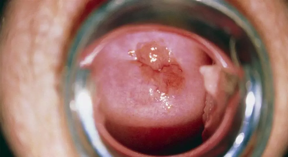
Au fil des ans, une importance particulière a été accordée à l'orientation préventive par le biais du diagnostic cytologique, car il permet d'identifier des anomalies dans les tissus et les cellules, contribuant ainsi à la détection précoce du cancer et d'autres maladies. Il permet également de déterminer le traitement approprié et de suivre l'évolution de la maladie dans le temps. Il peut être réalisé sur différents tissus et liquides organiques, tels que la peau, le sang, le col de l'utérus et les poumons, ce qui témoigne de la vaste application du diagnostic cytologique dans la médecine moderne. En ce sens, ce Certificat de TECH Université Technologique en cytologie diagnostique est conçu avec les dernières techniques et méthodes spécifiques qui vous aideront à vous appliquer dans le secteur d'une manière spécialisée et avant-gardiste. Sous la direction de professeurs hautement qualifiés et expérimentés, vous avancerez progressivement dans les concepts fondamentaux de la cytologie et apprendrez à interpréter les résultats des tests cytologiques. Vous acquerrez une compréhension approfondie du sujet et serez équipé pour faire face à n'importe quel défi dans le domaine du diagnostic cytologique.
Une mise à jour de vos compétences dans un format 100% en ligne
Ce Certificat en Diagnostic Cytologique vous offre une formation de haute qualité dans le domaine de la cytologie d'une manière pratique et efficace, grâce à la méthodologie innovante Relearning et à son système d'enseignement 100% en ligne. Grâce à une approche éminemment pratique et basée sur l'expérience, vous apprendrez à manier un outil accessible et efficace pour la recherche médicale et clinique dans votre travail quotidien. Vous apprendrez les méthodes de dépistage dans les populations à risque pour le diagnostic précoce des lésions cancéreuses, ainsi que les techniques de cytologie d'aspiration des organes superficiels et profonds. Aussi les indications, les limites et les complications, entre autres aspects qui seront disponibles 24 heures par jour à partir de la plate-forme virtuelle pour l'étudier ou le télécharger à votre convenance et de cette façon, vous aurez une source inestimable de consultation pour la vie.